



Abstract:Personalization enables businesses to learn customer preferences from past interactions and thus to target individual customers with more relevant content. We consider the problem of predicting the optimal promotional offer for a given customer out of several options as a contextual bandit problem. Identifying information for the customer and/or the campaign can be used to deduce unknown customer/campaign features that improve optimal offer prediction. Using a generated synthetic email promo dataset, we demonstrate similar prediction accuracies for (a) a wide and deep network that takes identifying information (or other categorical features) as input to the wide part and (b) a deep-only neural network that includes embeddings of categorical features in the input. Improvements in accuracy from including categorical features depends on the variability of the unknown numerical features for each category. We also show that selecting options using upper confidence bound or Thompson sampling, approximated via Monte Carlo dropout layers in the wide and deep models, slightly improves model performance.




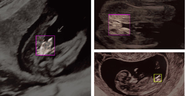
Abstract:Ultrasound (US) imaging is highly effective with regards to both cost and versatility in real-time diagnosis; however, determination of fetal gender by US scan in the early stages of pregnancy is also a cause of sex-selective abortion. This work proposes a deep learning object detection approach to accurately mask fetal gender in US images in order to increase the accessibility of the technology. We demonstrate how the YOLOv5L architecture exhibits superior performance relative to other object detection models on this task. Our model achieves 45.8% AP[0.5:0.95], 92% F1-score and 0.006 False Positive Per Image rate on our test set. Furthermore, we introduce a bounding box delay rule based on frame-to-frame structural similarity to reduce the false negative rate by 85%, further improving masking reliability.