



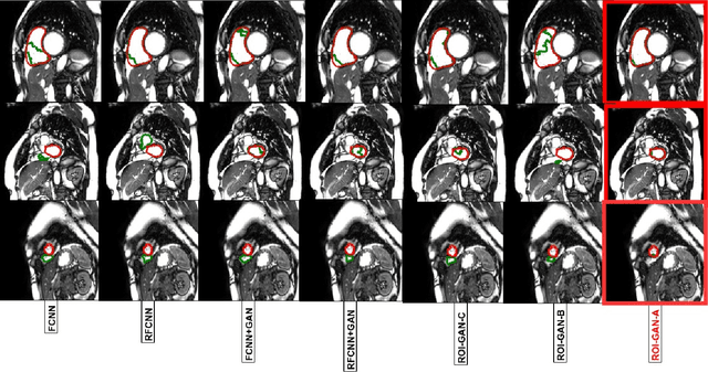
Abstract:The clinical management of several cardiovascular conditions, such as pulmonary hypertension, require the assessment of the right ventricular (RV) function. This work addresses the fully automatic and robust access to one of the key RV biomarkers, its ejection fraction, from the gold standard imaging modality, MRI. The problem becomes the accurate segmentation of the RV blood pool from cine MRI sequences. This work proposes a solution based on Fully Convolutional Neural Networks (FCNN), where our first contribution is the optimal combination of three concepts (the convolution Gated Recurrent Units (GRU), the Generative Adversarial Networks (GAN), and the L1 loss function) that achieves an improvement of 0.05 and 3.49 mm in Dice Index and Hausdorff Distance respectively with respect to the baseline FCNN. This improvement is then doubled by our second contribution, the ROI-GAN, that sets two GANs to cooperate working at two fields of view of the image, its full resolution and the region of interest (ROI). Our rationale here is to better guide the FCNN learning by combining global (full resolution) and local Region Of Interest (ROI) features. The study is conducted in a large in-house dataset of $\sim$ 23.000 segmented MRI slices, and its generality is verified in a publicly available dataset.



Abstract:The segmentation of the left ventricle (LV) from CINE MRI images is essential to infer important clinical parameters. Typically, machine learning algorithms for automated LV segmentation use annotated contours from only two cardiac phases, diastole, and systole. In this work, we present an analysis work-flow for fully-automated LV segmentation that learns from images acquired through the cardiac cycle. The workflow consists of three components: first, for each image in the sequence, we perform an automated localization and subsequent cropping of the bounding box containing the cardiac silhouette. Second, we identify the LV contours using a Temporal Fully Convolutional Neural Network (T-FCNN), which extends Fully Convolutional Neural Networks (FCNN) through a recurrent mechanism enforcing temporal coherence across consecutive frames. Finally, we further defined the boundaries using either one of two components: fully-connected Conditional Random Fields (CRFs) with Gaussian edge potentials and Semantic Flow. Our initial experiments suggest that significant improvement in performance can potentially be achieved by using a recurrent neural network component that explicitly learns cardiac motion patterns whilst performing LV segmentation.