



Abstract:Temperature and rainfall have a significant impact on economic growth as well as the outbreak of seasonal diseases in a region. In spite of that inadequate studies have been carried out for analyzing the weather pattern of Bangladesh implementing the artificial neural network. Therefore, in this study, we are implementing a Long Short-term Memory (LSTM) model to forecast the month-wise temperature and rainfall by analyzing 115 years (1901-2015) of weather data of Bangladesh. The LSTM model has shown a mean error of -0.38oC in case of predicting the month-wise temperature for 2 years and -17.64mm in case of predicting the rainfall. This prediction model can help to understand the weather pattern changes as well as studying seasonal diseases of Bangladesh whose outbreaks are dependent on regional temperature and/or rainfall.





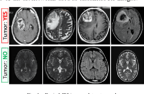
Abstract:Diagnosing Brain Tumor with the aid of Magnetic Resonance Imaging (MRI) has gained enormous prominence over the years, primarily in the field of medical science. Detection and/or partitioning of brain tumors solely with the aid of MR imaging is achieved at the cost of immense time and effort and demands a lot of expertise from engaged personnel. This substantiates the necessity of fabricating an autonomous model brain tumor diagnosis. Our work involves implementing a deep convolutional neural network (DCNN) for diagnosing brain tumors from MR images. The dataset used in this paper consists of 253 brain MR images where 155 images are reported to have tumors. Our model can single out the MR images with tumors with an overall accuracy of 96%. The model outperformed the existing conventional methods for the diagnosis of brain tumor in the test dataset (Precision = 0.93, Sensitivity = 1.00, and F1-score = 0.97). Moreover, the proposed model's average precision-recall score is 0.93, Cohen's Kappa 0.91, and AUC 0.95. Therefore, the proposed model can help clinical experts verify whether the patient has a brain tumor and, consequently, accelerate the treatment procedure.





Abstract:The central aim of this paper is to implement Deep Autoencoder and Neighborhood Components Analysis (NCA) dimensionality reduction methods in Matlab and to observe the application of these algorithms on nine unlike datasets from UCI machine learning repository. These datasets are CNAE9, Movement Libras, Pima Indians diabetes, Parkinsons, Knowledge, Segmentation, Seeds, Mammographic Masses, and Ionosphere. First of all, the dimension of these datasets has been reduced to fifty percent of their original dimension by selecting and extracting the most relevant and appropriate features or attributes using Deep Autoencoder and NCA dimensionality reduction techniques. Afterward, each dataset is classified applying K-Nearest Neighbors (KNN), Extended Nearest Neighbors (ENN) and Support Vector Machine (SVM) classification algorithms. All classification algorithms are developed in the Matlab environment. In each classification, the training test data ratio is always set to ninety percent: ten percent. Upon classification, variation between accuracies is observed and analyzed to find the degree of compatibility of each dimensionality reduction technique with each classifier and to evaluate each classifier performance on each dataset.





Abstract:Non-Intrusive Load Monitoring (NILM) is the method of detecting an individual device's energy signal from an aggregated energy consumption signature [1]. As existing energy meters provide very little to no information regarding the energy consumption of individual appliances apart from the aggregated power rating, the spotting of individual appliances' energy usages by NILM will not only provide consumers the feedback of appliance-specific energy usage but also lead to the changes of their consumption behavior which facilitate energy conservation. B Neenan et al. [2] have demonstrated that direct individual appliance-specific energy usage signals lead to consumers' behavioral changes which improves energy efficiency by as much as 15%. Upon disaggregation of an energy signal, the signal needs to be classified according to the appropriate appliance. Hence, the goal of this paper is to disaggregate total energy consumption data to individual appliance signature and then classify appliance-specific energy loads using a prominent supervised classification method known as K-Nearest Neighbors (KNN). To perform this operation we have used a publicly accessible dataset of power signals from several houses known as the REDD dataset. Before applying KNN, data is preprocessed for each device. Then KNN is applied to check whether their energy consumption signature is separable or not. KNN is applied with K=5.





Abstract:In recent times, with the increase of Artificial Neural Network (ANN), deep learning has brought a dramatic twist in the field of machine learning by making it more artificially intelligent. Deep learning is remarkably used in vast ranges of fields because of its diverse range of applications such as surveillance, health, medicine, sports, robotics, drones, etc. In deep learning, Convolutional Neural Network (CNN) is at the center of spectacular advances that mixes Artificial Neural Network (ANN) and up to date deep learning strategies. It has been used broadly in pattern recognition, sentence classification, speech recognition, face recognition, text categorization, document analysis, scene, and handwritten digit recognition. The goal of this paper is to observe the variation of accuracies of CNN to classify handwritten digits using various numbers of hidden layers and epochs and to make the comparison between the accuracies. For this performance evaluation of CNN, we performed our experiment using Modified National Institute of Standards and Technology (MNIST) dataset. Further, the network is trained using stochastic gradient descent and the backpropagation algorithm.





Abstract:Fruit recognition using Deep Convolutional Neural Network (CNN) is one of the most promising applications in computer vision. In recent times, deep learning based classifications are making it possible to recognize fruits from images. However, fruit recognition is still a problem for the stacked fruits on weighing scale because of the complexity and similarity. In this paper, a fruit recognition system using CNN is proposed. The proposed method uses deep learning techniques for the classification. We have used Fruits-360 dataset for the evaluation purpose. From the dataset, we have established a dataset which contains 17,823 images from 25 different categories. The images are divided into training and test dataset. Moreover, for the classification accuracies, we have used various combinations of hidden layer and epochs for different cases and made a comparison between them. The overall performance losses of the network for different cases also observed. Finally, we have achieved the best test accuracy of 100% and a training accuracy of 99.79%.



Abstract:Tissue classification is one of the significant tasks in the field of biomedical image analysis. Magnetic Resonance Imaging (MRI) is of great importance in tissue classification especially in the areas of brain tissue classification which is able to recognize anatomical areas of interest such as surgical planning, monitoring therapy, clinical drug trials, image registration, stereotactic neurosurgery, radiotherapy etc. The task of this paper is to implement different unsupervised classification algorithms in ITK and perform tissue classification (white matter, gray matter, cerebrospinal fluid (CSF) and background of the human brain). For this purpose, 5 grayscale head MRI scans are provided. In order of classifying brain tissues, three algorithms are used. These are: Otsu thresholding, Bayesian classification and Bayesian classification with Gaussian smoothing. The obtained classification results are analyzed in the results and discussion section.





Abstract:Machine learning qualifies computers to assimilate with data, without being solely programmed [1, 2]. Machine learning can be classified as supervised and unsupervised learning. In supervised learning, computers learn an objective that portrays an input to an output hinged on training input-output pairs [3]. Most efficient and widely used supervised learning algorithms are K-Nearest Neighbors (KNN), Support Vector Machine (SVM), Large Margin Nearest Neighbor (LMNN), and Extended Nearest Neighbor (ENN). The main contribution of this paper is to implement these elegant learning algorithms on eleven different datasets from the UCI machine learning repository to observe the variation of accuracies for each of the algorithms on all datasets. Analyzing the accuracy of the algorithms will give us a brief idea about the relationship of the machine learning algorithms and the data dimensionality. All the algorithms are developed in Matlab. Upon such accuracy observation, the comparison can be built among KNN, SVM, LMNN, and ENN regarding their performances on each dataset.





Abstract:Nowadays, deep learning can be employed to a wide ranges of fields including medicine, engineering, etc. In deep learning, Convolutional Neural Network (CNN) is extensively used in the pattern and sequence recognition, video analysis, natural language processing, spam detection, topic categorization, regression analysis, speech recognition, image classification, object detection, segmentation, face recognition, robotics, and control. The benefits associated with its near human level accuracies in large applications lead to the growing acceptance of CNN in recent years. The primary contribution of this paper is to analyze the impact of the pattern of the hidden layers of a CNN over the overall performance of the network. To demonstrate this influence, we applied neural network with different layers on the Modified National Institute of Standards and Technology (MNIST) dataset. Also, is to observe the variations of accuracies of the network for various numbers of hidden layers and epochs and to make comparison and contrast among them. The system is trained utilizing stochastic gradient and backpropagation algorithm and tested with feedforward algorithm.





Abstract:In recent days, Artificial Neural Network (ANN) can be applied to a vast majority of fields including business, medicine, engineering, etc. The most popular areas where ANN is employed nowadays are pattern and sequence recognition, novelty detection, character recognition, regression analysis, speech recognition, image compression, stock market prediction, Electronic nose, security, loan applications, data processing, robotics, and control. The benefits associated with its broad applications leads to increasing popularity of ANN in the era of 21st Century. ANN confers many benefits such as organic learning, nonlinear data processing, fault tolerance, and self-repairing compared to other conventional approaches. The primary objective of this paper is to analyze the influence of the hidden layers of a neural network over the overall performance of the network. To demonstrate this influence, we applied neural network with different layers on the MNIST dataset. Also, another goal is to observe the variations of accuracies of ANN for different numbers of hidden layers and epochs and to compare and contrast among them.
