



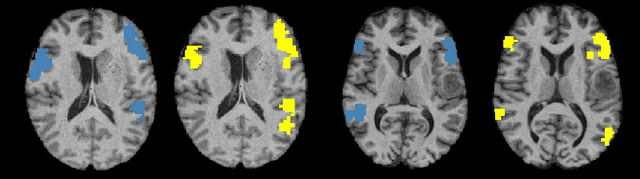
Abstract:We present a novel deep learning framework that uses dynamic functional connectivity to simultaneously localize the language and motor areas of the eloquent cortex in brain tumor patients. Our method leverages convolutional layers to extract graph-based features from the dynamic connectivity matrices and a long-short term memory (LSTM) attention network to weight the relevant time points during classification. The final stage of our model employs multi-task learning to identify different eloquent subsystems. Our unique training strategy finds a shared representation between the cognitive networks of interest, which enables us to handle missing patient data. We evaluate our method on resting-state fMRI data from 56 brain tumor patients while using task fMRI activations as surrogate ground-truth labels for training and testing. Our model achieves higher localization accuracies than conventional deep learning approaches and can identify bilateral language areas even when trained on left-hemisphere lateralized cases. Hence, our method may ultimately be useful for preoperative mapping in tumor patients.