



Abstract:Deep learning has been successfully applied to medical image segmentation, enabling accurate identification of regions of interest such as organs and lesions. This approach works effectively across diverse datasets, including those with single-image contrast, multi-contrast, and multimodal imaging data. To improve human understanding of these black-box models, there is a growing need for Explainable AI (XAI) techniques for model transparency and accountability. Previous research has primarily focused on post hoc pixel-level explanations, using methods gradient-based and perturbation-based apporaches. These methods rely on gradients or perturbations to explain model predictions. However, these pixel-level explanations often struggle with the complexity inherent in multi-contrast magnetic resonance imaging (MRI) segmentation tasks, and the sparsely distributed explanations have limited clinical relevance. In this study, we propose using contrast-level Shapley values to explain state-of-the-art models trained on standard metrics used in brain tumor segmentation. Our results demonstrate that Shapley analysis provides valuable insights into different models' behavior used for tumor segmentation. We demonstrated a bias for U-Net towards over-weighing T1-contrast and FLAIR, while Swin-UNETR provided a cross-contrast understanding with balanced Shapley distribution.




Abstract:Identification of tumor margins is essential for surgical decision-making for glioblastoma patients and provides reliable assistance for neurosurgeons. Despite improvements in deep learning architectures for tumor segmentation over the years, creating a fully autonomous system suitable for clinical floors remains a formidable challenge because the model predictions have not yet reached the desired level of accuracy and generalizability for clinical applications. Generative modeling techniques have seen significant improvements in recent times. Specifically, Generative Adversarial Networks (GANs) and Denoising-diffusion-based models (DDPMs) have been used to generate higher-quality images with fewer artifacts and finer attributes. In this work, we introduce a framework called Re-Diffinet for modeling the discrepancy between the outputs of a segmentation model like U-Net and the ground truth, using DDPMs. By explicitly modeling the discrepancy, the results show an average improvement of 0.55\% in the Dice score and 16.28\% in HD95 from cross-validation over 5-folds, compared to the state-of-the-art U-Net segmentation model.




Abstract:Tumor segmentation from multi-modal brain MRI images is a challenging task due to the limited samples, high variance in shapes and uneven distribution of tumor morphology. The performance of automated medical image segmentation has been significant improvement by the recent advances in deep learning. However, the model predictions have not yet reached the desired level for clinical use in terms of accuracy and generalizability. In order to address the distinct problems presented in Challenges 1, 2, and 3 of BraTS 2023, we have constructed an optimization framework based on a 3D U-Net model for brain tumor segmentation. This framework incorporates a range of techniques, including various pre-processing and post-processing techniques, and transfer learning. On the validation datasets, this multi-modality brain tumor segmentation framework achieves an average lesion-wise Dice score of 0.79, 0.72, 0.74 on Challenges 1, 2, 3 respectively.




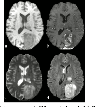
Abstract:Deformable image registration is a key task in medical image analysis. The Brain Tumor Sequence Registration challenge (BraTS-Reg) aims at establishing correspondences between pre-operative and follow-up scans of the same patient diagnosed with an adult brain diffuse high-grade glioma and intends to address the challenging task of registering longitudinal data with major tissue appearance changes. In this work, we proposed a two-stage cascaded network based on the Inception and TransMorph models. The dataset for each patient was comprised of a native pre-contrast (T1), a contrast-enhanced T1-weighted (T1-CE), a T2-weighted (T2), and a Fluid Attenuated Inversion Recovery (FLAIR). The Inception model was used to fuse the 4 image modalities together and extract the most relevant information. Then, a variant of the TransMorph architecture was adapted to generate the displacement fields. The Loss function was composed of a standard image similarity measure, a diffusion regularizer, and an edge-map similarity measure added to overcome intensity dependence and reinforce correct boundary deformation. We observed that the addition of the Inception module substantially increased the performance of the network. Additionally, performing an initial affine registration before training the model showed improved accuracy in the landmark error measurements between pre and post-operative MRIs. We observed that our best model composed of the Inception and TransMorph architectures while using an initially affine registered dataset had the best performance with a median absolute error of 2.91 (initial error = 7.8). We achieved 6th place at the time of model submission in the final testing phase of the BraTS-Reg challenge.