



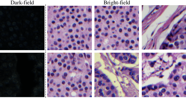
Staining is critical to cell imaging and medical diagnosis, which is expensive, time-consuming, labor-intensive, and causes irreversible changes to cell tissues. Recent advances in deep learning enabled digital staining via supervised model training. However, it is difficult to obtain large-scale stained/unstained cell image pairs in practice, which need to be perfectly aligned with the supervision. In this work, we propose a novel unsupervised deep learning framework for the digital staining of cell images using knowledge distillation and generative adversarial networks (GANs). A teacher model is first trained mainly for the colorization of bright-field images. After that,a student GAN for staining is obtained by knowledge distillation with hybrid non-reference losses. We show that the proposed unsupervised deep staining method can generate stained images with more accurate positions and shapes of the cell targets. Compared with other unsupervised deep generative models for staining, our method achieves much more promising results both qualitatively and quantitatively.