


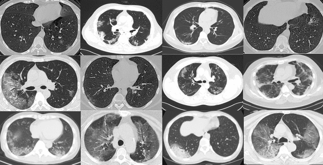
CT scans are promising in providing accurate, fast, and cheap screening and testing of COVID-19. In this paper, we build a publicly available COVID-CT dataset, containing 275 CT scans that are positive for COVID-19, to foster the research and development of deep learning methods which predict whether a person is affected with COVID-19 by analyzing his/her CTs. We train a deep convolutional neural network on this dataset and achieve an F1 of 0.85 which is a promising performance but yet to be further improved. The data and code are available at https://github.com/UCSD-AI4H/COVID-CT