



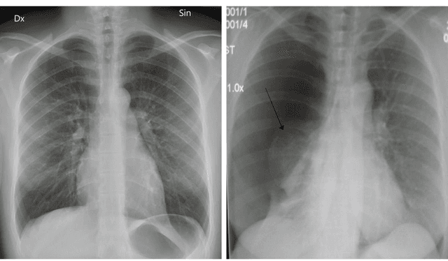
Pneumothorax is a relatively common disease, but in some cases, it may be difficult to find with chest radiography. In this paper, we propose a novel method of detecting pneumothorax in chest radiography. We propose an ensemble model of identical convolutional neural networks (CNN) with three different sizes of radiography images. Conventional methods may not properly characterize lost features while resizing large size images into 256 x 256 or 224 x 224 sizes. Our model is evaluated with ChestX-ray dataset which contains over 100,000 chest radiography images. As a result of the experiment, the proposed model showed AUC 0.911, which is the state of the art result in pneumothorax detection. Our method is expected to be effective when applying CNN to large size medical images.