



Abstract:We propose a new approach for the problem of relative depth estimation from a single image. Instead of directly regressing over depth scores, we formulate the problem as estimation of a probability distribution over depth and aim to learn the parameters of the distributions which maximize the likelihood of the given data. To train our model, we propose a new ranking loss, Distributional Loss, which tries to increase the probability of farther pixel's depth being greater than the closer pixel's depth. Our proposed approach allows our model to output confidence in its estimation in the form of standard deviation of the distribution. We achieve state of the art results against a number of baselines while providing confidence in our estimations. Our analysis show that estimated confidence is actually a good indicator of accuracy. We investigate the usage of confidence information in a downstream task of metric depth estimation, to increase its performance.




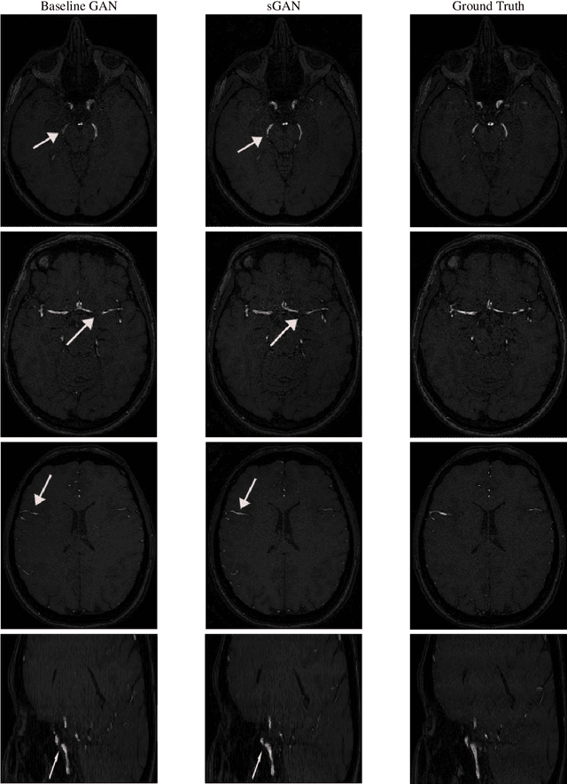
Abstract:Magnetic Resonance Angiography (MRA) has become an essential MR contrast for imaging and evaluation of vascular anatomy and related diseases. MRA acquisitions are typically ordered for vascular interventions, whereas in typical scenarios, MRA sequences can be absent in the patient scans. This motivates the need for a technique that generates inexistent MRA from existing MR multi-contrast, which could be a valuable tool in retrospective subject evaluations and imaging studies. In this paper, we present a generative adversarial network (GAN) based technique to generate MRA from T1-weighted and T2-weighted MRI images, for the first time to our knowledge. To better model the representation of vessels which the MRA inherently highlights, we design a loss term dedicated to a faithful reproduction of vascularities. To that end, we incorporate steerable filter responses of the generated and reference images inside a Huber function loss term. Extending the well- established generator-discriminator architecture based on the recent PatchGAN model with the addition of steerable filter loss, the proposed steerable GAN (sGAN) method is evaluated on the large public database IXI. Experimental results show that the sGAN outperforms the baseline GAN method in terms of an overlap score with similar PSNR values, while it leads to improved visual perceptual quality.