



Abstract:There has been a considerable advance in computing, to mimic the way in which the brain tries to comprehend and structure the information to retrieve meaningful knowledge. It is identified that neuronal entities hold whole of the knowledge that the species makes use of. We intended to develop a modified knowledge based system, termed as Informledge System (ILS) with autonomous nodes and intelligent links that integrate and structure the pieces of knowledge. We conceive that every piece of knowledge is a cluster of cross-linked and correlated structure. In this paper, we put forward the theory of the nodes depicting concepts, referred as Entity Concept State which in turn is dealt with Concept State Diagrams (CSD). This theory is based on an abstract framework provided by the concepts. The framework represents the ILS as the weighted graph where the weights attached with the linked nodes help in knowledge retrieval by providing the direction of connectivity of autonomous nodes present in knowledge thread traversal. Here for the first time in the process of developing Informledge, we apply tenor computation for creating intelligent combinatorial knowledge with cross mutation to create fresh knowledge which looks to be the fundamentals of a typical thought process.




Abstract:Cardiovascular system study using ECG signals have evolved tremendously in the domain of electronics and signal processing. However, there are certain floating challenges unresolved in the analysis and detection of abnormal performances of cardiovascular system. As the medical field is moving towards more automated and intelligent systems, wrong detection or wrong interpretations of ECG waveform of abnormal conditions can be quite fatal. Since the PQRST signals vary their positions randomly, the process of locating, identifying and classifying each feature can be cumbersome and it is prone to errors. Here we present an automated scheme using adaptive wavelet to detect prominent R-peak with extreme accuracy and algorithmically tag and mark the coexisting peaks P, Q, S, and T with almost same accuracy. The adaptive wavelet approach used in this scheme is capable of detecting R-peak in ECG with 99.99% accuracy along with the rest of the waveforms.




Abstract:Applications of wavelet transform to the field of health care signals have paved the way for implementing revolutionary approaches in detecting the presence of certain abnormalities in human health patterns. There were extensive studies carried out using primary wavelets in various signals like Electrocardiogram (ECG), sonogram etc. with a certain amount of success. On the other hand analysis using secondary wavelets which inherits the characteristics of a set of variations available in signals like ECG can be a promise to detect diseases with ease. Here a method to create a generalized adapted wavelet is presented which contains the information of QRS pattern collected from an anomaly sample space. The method has been tested and found to be successful in locating the position of R peak in noise embedded ECG signal.




Abstract:Shifting of objects in an image and merging many images after appropriate shifting is being used in several engineering and scientific applications which require complex perception development. A method has been presented here which could be used in precision engineering and biological applications where more precise prediction is required of a combined phenomenon with varying prominence of each phenomenon. Accurate merging of intended pixels can be achieved in high quality using frequency domain techniques even though initial properties of the original pixels are lost in this process. This paper introduces a technique to shift and merge various images with varying prominence of each image. A coefficient named prominence coefficient has been introduced which is capable of making some of the images transparent and highlighting the rest as per requirement of merging process which can be used as a simple but effective technique for overlapped view of a set of images.

Abstract:Several Scientific and engineering applications require merging of sampled images for complex perception development. In most cases, for such requirements, images are merged at intensity level. Even though it gives fairly good perception of combined scenario of objects and scenes, it is found that they are not sufficient enough to analyze certain engineering cases. The main problem is incoherent modulation of intensity arising out of phase properties being lost. In order to compensate these losses, combined phase and amplitude merge is demanded. We present here a method which could be used in precision engineering and biological applications where more precise prediction is required of a combined phenomenon. When pixels are added, its original property is lost but accurate merging of intended pixels can be achieved in high quality using frequency domain properties of an image. This paper introduces a technique to merge various images which can be used as a simple but effective technique for overlapped view of a set of images and producing reduced dataset for review purposes.




Abstract:Significant research has been carried out recently to find the optimal path in network routing. Among them, the evolutionary algorithm approach is an area where work is carried out extensively. We in this paper have used particle swarm optimization (PSO) and genetic algorithm (GA) for finding the optimal path and the concept of region based network is introduced along with the use of indirect encoding. We demonstrate the advantage of fitness value and hop count in both PSO and GA. A comparative study of PSO and genetic algorithm (GA) is carried out, and it was found that PSO converged to arrive at the optimal path much faster than GA.




Abstract:In Internet Routing, the static shortest path (SP) problem has been addressed using well known intelligent optimization techniques like artificial neural networks, genetic algorithms (GAs) and particle swarm optimization. Advancement in wireless communication lead more and more mobile wireless networks, such as mobile networks [mobile ad hoc networks (MANETs)] and wireless sensor networks. Dynamic nature of the network is the main characteristic of MANET. Therefore, the SP routing problem in MANET turns into dynamic optimization problem (DOP). Here the nodes ae made aware of the environmental condition, thereby making it intelligent, which goes as the input for GA. The implementation then uses GAs with immigrants and memory schemes to solve the dynamic SP routing problem (DSPRP) in MANETS. In our paper, once the network topology changes, the optimal solutions in the new environment can be searched using the new immigrants or the useful information stored in the memory. Results shows GA with new immigrants shows better convergence result than GA with memory scheme.




Abstract:This paper addresses the path selection problem from a known sender to the receiver. The proposed work shows path selection using genetic algorithm(GA)and simulated annealing (SA) approaches. In genetic algorithm approach, the multi point crossover and mutation helps in determining the optimal path and also alternate path if required. The input to both the algorithms is a learnt module which is a part of the cognitive router that takes care of four QoS parameters.The aim of the approach is to maximize the bandwidth along the forward channels and minimize the route length. The population size is considered as the N nodes participating in the network scenario, which will be limited to a known size of topology. The simulated results show that, by using genetic algorithm approach, the probability of shortest path convergence is higher as the number of iteration goes up whereas in simulated annealing the number of iterations had no influence to attain better results as it acts on random principle of selection.


Abstract:This paper reviews application of Artificial Neural Networks in Aircraft Maintenance, Repair and Overhaul (MRO). MRO solutions are designed to facilitate the authoring and delivery of maintenance and repair information to the line maintenance technicians who need to improve aircraft repair turn around time, optimize the efficiency and consistency of fleet maintenance and ensure regulatory compliance. The technical complexity of aircraft systems, especially in avionics, has increased to the point at which it poses a significant troubleshotting and repair challenge for MRO personnel. As per the existing scenario, the MRO systems in place are inefficient. In this paper, we propose the centralization and integration of the MRO database to increase its efficiency. Moreover the implementation of Artificial Neural Networks in this system can rid the system of many of its deficiencies. In order to make the system more efficient we propose to integrate all the modules so as to reduce the efficacy of repair.




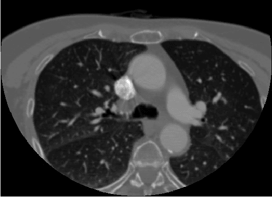
Abstract:Segmentation of medical images using seeded region growing technique is increasingly becoming a popular method because of its ability to involve high-level knowledge of anatomical structures in seed selection process. Region based segmentation of medical images are widely used in varied clinical applications like visualization, bone detection, tumor detection and unsupervised image retrieval in clinical databases. As medical images are mostly fuzzy in nature, segmenting regions based intensity is the most challenging task. In this paper, we discuss about popular seeded region grow methodology used for segmenting anatomical structures in CT Angiography images. We have proposed a gradient based homogeneity criteria to control the region grow process while segmenting CTA images.