



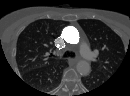
Segmentation of medical images using seeded region growing technique is increasingly becoming a popular method because of its ability to involve high-level knowledge of anatomical structures in seed selection process. Region based segmentation of medical images are widely used in varied clinical applications like visualization, bone detection, tumor detection and unsupervised image retrieval in clinical databases. As medical images are mostly fuzzy in nature, segmenting regions based intensity is the most challenging task. In this paper, we discuss about popular seeded region grow methodology used for segmenting anatomical structures in CT Angiography images. We have proposed a gradient based homogeneity criteria to control the region grow process while segmenting CTA images.