



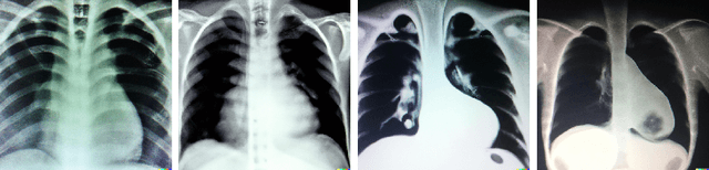
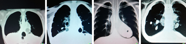
Abstract:Generative models are becoming popular for the synthesis of medical images. Recently, neural diffusion models have demonstrated the potential to generate photo-realistic images of objects. However, their potential to generate medical images is not explored yet. In this work, we explore the possibilities of synthesis of medical images using neural diffusion models. First, we use a pre-trained DALLE2 model to generate lungs X-Ray and CT images from an input text prompt. Second, we train a stable diffusion model with 3165 X-Ray images and generate synthetic images. We evaluate the synthetic image data through a qualitative analysis where two independent radiologists label randomly chosen samples from the generated data as real, fake, or unsure. Results demonstrate that images generated with the diffusion model can translate characteristics that are otherwise very specific to certain medical conditions in chest X-Ray or CT images. Careful tuning of the model can be very promising. To the best of our knowledge, this is the first attempt to generate lungs X-Ray and CT images using neural diffusion models. This work aims to introduce a new dimension in artificial intelligence for medical imaging. Given that this is a new topic, the paper will serve as an introduction and motivation for the research community to explore the potential of diffusion models for medical image synthesis. We have released the synthetic images on https://www.kaggle.com/datasets/hazrat/awesomelungs.