



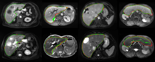
Abstract:We address the problem of multimodal liver segmentation in paired but unregistered T1 and T2-weighted MR images. We compare several strategies described in the literature, with or without multi-task training, with or without pre-registration. We also compare different loss functions (cross-entropy, Dice loss, and three adversarial losses). All methods achieved comparable performances with the exception of a multi-task setting that performs both segmentations at once, which performed poorly.