



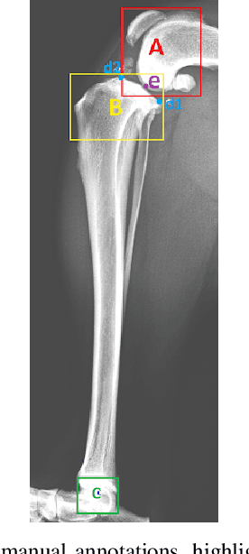
Abstract:Stifle joint issues are a major cause of lameness in dogs and it can be a significant marker for various forms of diseases or injuries. A known Tibial Plateau Angle (TPA) helps in the reduction of the diagnosis time of the cause. With the state of the art object detection algorithm YOLO, and its variants, this paper delves into identifying joints, their centroids and other regions of interest to draw multiple line axes and finally calculating the TPA. The methods investigated predicts successfully the TPA within the normal range for 80 percent of the images.




Abstract:The veterinary field lacks automation in contrast to the tremendous technological advances made in the human medical field. Implementation of machine learning technology can shorten any step of the automation process. This paper explores these core concepts and starts with automation in sorting radiographs for canines by view and anatomy. This is achieved by developing a new lightweight algorithm inspired by AlexNet, Inception, and SqueezeNet. The proposed module proves to be lighter than SqueezeNet while maintaining accuracy higher than that of AlexNet, ResNet, DenseNet, and SqueezeNet.