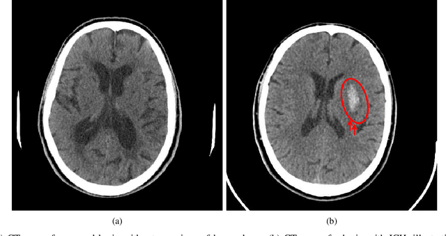
Abstract:Intracranial hemorrhage (ICH) is a critical medical emergency caused by the rupture of cerebral blood vessels, leading to internal bleeding within the skull. Accurate and timely classification of hemorrhage subtypes is essential for effective clinical decision-making. To address this challenge, we propose an advanced pyramid vision transformer (PVT)-based model, leveraging its hierarchical attention mechanisms to capture both local and global spatial dependencies in brain CT scans. Instead of processing all extracted features indiscriminately, A SHAP-based feature selection method is employed to identify the most discriminative components, which are then used as a latent feature space to train a boosting neural network, reducing computational complexity. We introduce an entropy-aware aggregation strategy along with a fuzzy integral operator to fuse information across multiple CT slices, ensuring a more comprehensive and reliable scan-level diagnosis by accounting for inter-slice dependencies. Experimental results show that our PVT-based framework significantly outperforms state-of-the-art deep learning architectures in terms of classification accuracy, precision, and robustness. By combining SHAP-driven feature selection, transformer-based modeling, and an entropy-aware fuzzy integral operator for decision fusion, our method offers a scalable and computationally efficient AI-driven solution for automated ICH subtype classification.




Abstract:Intracranial hemorrhage (ICH) refers to the leakage or accumulation of blood within the skull, which occurs due to the rupture of blood vessels in or around the brain. If this condition is not diagnosed in a timely manner and appropriately treated, it can lead to serious complications such as decreased consciousness, permanent neurological disabilities, or even death.The primary aim of this study is to detect the occurrence or non-occurrence of ICH, followed by determining the type of subdural hemorrhage (SDH). These tasks are framed as two separate binary classification problems. By adding two layers to the co-scale convolutional attention (CCA) classifier architecture, we introduce a novel approach for ICH detection. In the first layer, after extracting features from different slices of computed tomography (CT) scan images, we combine these features and select the 50 components that capture the highest variance in the data, considering them as informative features. We then assess the discriminative power of these features using the bootstrap forest algorithm, discarding those that lack sufficient discriminative ability between different classes. This algorithm explicitly determines the contribution of each feature to the final prediction, assisting us in developing an explainable AI model. The features feed into a boosting neural network as a latent feature space. In the second layer, we introduce a novel uncertainty-based fuzzy integral operator to fuse information from different CT scan slices. This operator, by accounting for the dependencies between consecutive slices, significantly improves detection accuracy.