



Abstract:The recent global spread of monkeypox, particularly in regions where it has not historically been prevalent, has raised significant public health concerns. Early and accurate diagnosis is critical for effective disease management and control. In response, this study proposes a novel deep learning-based framework for the automated detection of monkeypox from skin lesion images, leveraging the power of transfer learning, dimensionality reduction, and advanced machine learning techniques. We utilize the newly developed Monkeypox Skin Lesion Dataset (MSLD), which includes images of monkeypox, chickenpox, and measles, to train and evaluate our models. The proposed framework employs the Xception architecture for deep feature extraction, followed by Principal Component Analysis (PCA) for dimensionality reduction, and the Natural Gradient Boosting (NGBoost) algorithm for classification. To optimize the model's performance and generalization, we introduce the African Vultures Optimization Algorithm (AVOA) for hyperparameter tuning, ensuring efficient exploration of the parameter space. Our results demonstrate that the proposed AVOA-NGBoost model achieves state-of-the-art performance, with an accuracy of 97.53%, F1-score of 97.72% and an AUC of 97.47%. Additionally, we enhance model interpretability using Grad-CAM and LIME techniques, providing insights into the decision-making process and highlighting key features influencing classification. This framework offers a highly precise and efficient diagnostic tool, potentially aiding healthcare providers in early detection and diagnosis, particularly in resource-constrained environments.




Abstract:Parameter-efficient fine-tuning methods, such as LoRA, reduces the number of trainable parameters. However, they often suffer from scalability issues and differences between their learning pattern and full fine-tuning. To overcome these limitations, we propose Efficient Weight-Decomposed Low-Rank Adaptation (EDoRA): a novel PEFT method that decomposes pre-trained weights into magnitude and directional components. By freezing low-rank matrices, initializing them by singular value decomposition, and introducing a small trainable matrix between them, EDoRA achieves substantial reduction in trainable parameters while maintaining learning capacity. Experimental results on the GLUE benchmark demonstrate that EDoRA achieves competitive or superior performance compared to state-of-the-art methods, such as LoRA and DoRA, with up to 30x fewer trainable parameters. This makes EDoRA a highly efficient solution for adapting LLMs to diverse tasks under memory-constrained settings. Code is available at https://github.com/Hamid-Nasiri/EDoRA .
Abstract:Parkinson's disease (PD) is the most widespread movement condition and the second most common neurodegenerative disorder, following Alzheimer's. Movement symptoms and imaging techniques are the most popular ways to diagnose this disease. However, they are not accurate and fast and may only be accessible to a few people. This study provides an autonomous system, i.e., PD-ADSV, for diagnosing PD based on voice signals, which uses four machine learning classifiers and the hard voting ensemble method to achieve the highest accuracy. PD-ADSV is developed using Python and the Gradio web framework.
Abstract:Financial time series prediction, a growing research topic, has attracted considerable interest from scholars, and several approaches have been developed. Among them, decomposition-based methods have achieved promising results. Most decomposition-based methods approximate a single function, which is insufficient for obtaining accurate results. Moreover, most existing researches have concentrated on one-step-ahead forecasting that prevents stock market investors from arriving at the best decisions for the future. This study proposes two novel methods for multi-step-ahead stock price prediction based on the issues outlined. DCT-MFRFNN, a method based on discrete cosine transform (DCT) and multi-functional recurrent fuzzy neural network (MFRFNN), uses DCT to reduce fluctuations in the time series and simplify its structure and MFRFNN to predict the stock price. VMD-MFRFNN, an approach based on variational mode decomposition (VMD) and MFRFNN, brings together their advantages. VMD-MFRFNN consists of two phases. The input signal is decomposed to several IMFs using VMD in the decomposition phase. In the prediction and reconstruction phase, each of the IMFs is given to a separate MFRFNN for prediction, and predicted signals are summed to reconstruct the output. Three financial time series, including Hang Seng Index (HSI), Shanghai Stock Exchange (SSE), and Standard & Poor's 500 Index (SPX), are used for the evaluation of the proposed methods. Experimental results indicate that VMD-MFRFNN surpasses other state-of-the-art methods. VMD-MFRFNN, on average, shows 35.93%, 24.88%, and 34.59% decreases in RMSE from the second-best model for HSI, SSE, and SPX, respectively. Also, DCT-MFRFNN outperforms MFRFNN in all experiments.




Abstract:Background and Objective: Parkinson's disease (PD) is the second most common progressive neurological condition after Alzheimer's, characterized by motor and non-motor symptoms. Developing a method to diagnose the condition in its beginning phases is essential because of the significant number of individuals afflicting with this illness. PD is typically identified using motor symptoms or other Neuroimaging techniques, such as DATSCAN and SPECT. These methods are expensive, time-consuming, and unavailable to the general public; furthermore, they are not very accurate. These constraints encouraged us to develop a novel technique using SHAP and Hard Voting Ensemble Method based on voice signals. Methods: In this article, we used Pearson Correlation Coefficients to understand the relationship between input features and the output, and finally, input features with high correlation were selected. These selected features were classified by the Extreme Gradient Boosting (XGBoost), Light Gradient Boosting Machine (LightGBM), Gradient Boosting, and Bagging. Moreover, the Hard Voting Ensemble Method was determined based on the performance of the four classifiers. At the final stage, we proposed Shapley Additive exPlanations (SHAP) to rank the features according to their significance in diagnosing Parkinson's disease. Results and Conclusion: The proposed method achieved 85.42% accuracy, 84.94% F1-score, 86.77% precision, 87.62% specificity, and 83.20% sensitivity. The study's findings demonstrated that the proposed method outperformed state-of-the-art approaches and can assist physicians in diagnosing Parkinson's cases.




Abstract:Breast cancer is the most common cancer among women worldwide. Early-stage diagnosis of breast cancer can significantly improve the efficiency of treatment. Computer-aided diagnosis (CAD) systems are widely adopted in this issue due to their reliability, accuracy and affordability. There are different imaging techniques for a breast cancer diagnosis; one of the most accurate ones is histopathology which is used in this paper. Deep feature transfer learning is used as the main idea of the proposed CAD system's feature extractor. Although 16 different pre-trained networks have been tested in this study, our main focus is on the classification phase. The Inception-ResNet-v2 which has both residual and inception networks profits together has shown the best feature extraction capability in the case of breast cancer histopathology images among all tested CNNs. In the classification phase, the ensemble of CatBoost, XGBoost and LightGBM has provided the best average accuracy. The BreakHis dataset was used to evaluate the proposed method. BreakHis contains 7909 histopathology images (2,480 benign and 5,429 malignant) in four magnification factors. The proposed method's accuracy (IRv2-CXL) using 70% of BreakHis dataset as training data in 40x, 100x, 200x and 400x magnification is 96.82%, 95.84%, 97.01% and 96.15%, respectively. Most studies on automated breast cancer detection have focused on feature extraction, which made us attend to the classification phase. IRv2-CXL has shown better or comparable results in all magnifications due to using the soft voting ensemble method which could combine the advantages of CatBoost, XGBoost and LightGBM together.




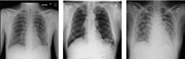
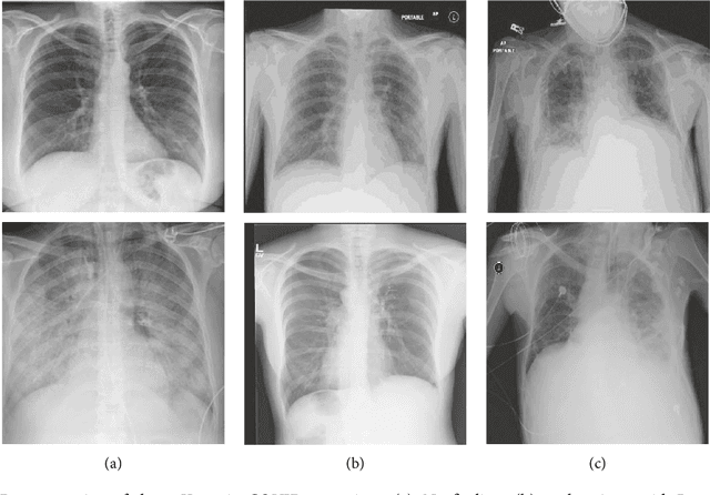
Abstract:The COVID-19 disease was first discovered in Wuhan, China, and spread quickly worldwide. After the COVID-19 pandemic, many researchers have begun to identify a way to diagnose the COVID-19 using chest X-ray images. The early diagnosis of this disease can significantly impact the treatment process. In this article, we propose a new technique that is faster and more accurate than the other methods reported in the literature. The proposed method uses a combination of DenseNet169 and MobileNet Deep Neural Networks to extract the features of the patient's X-ray images. Using the univariate feature selection algorithm, we refined the features for the most important ones. Then we applied the selected features as input to the LightGBM (Light Gradient Boosting Machine) algorithm for classification. To assess the effectiveness of the proposed method, the ChestX-ray8 dataset, which includes 1125 X-ray images of the patient's chest, was used. The proposed method achieved 98.54% and 91.11% accuracies in the two-class (COVID-19, Healthy) and multi-class (COVID-19, Healthy, Pneumonia) classification problems, respectively. It is worth mentioning that we have used Gradient-weighted Class Activation Mapping (Grad-CAM) for further analysis.




Abstract:The Coronavirus was detected in Wuhan, China in late 2019 and then led to a pandemic with a rapid worldwide outbreak. The number of infected people has been swiftly increasing since then. Therefore, in this study, an attempt was made to propose a new and efficient method for automatic diagnosis of Corona disease from X-ray images using Deep Neural Networks (DNNs). In the proposed method, the DensNet169 was used to extract the features of the patients' Chest X-Ray (CXR) images. The extracted features were given to a feature selection algorithm (i.e., ANOVA) to select a number of them. Finally, the selected features were classified by LightGBM algorithm. The proposed approach was evaluated on the ChestX-ray8 dataset and reached 99.20% and 94.22% accuracies in the two-class (i.e., COVID-19 and No-findings) and multi-class (i.e., COVID-19, Pneumonia, and No-findings) classification problems, respectively.




Abstract:The new coronavirus (known as COVID-19) was first identified in Wuhan and quickly spread worldwide, wreaking havoc on the economy and people's everyday lives. Fever, cough, sore throat, headache, exhaustion, muscular aches, and difficulty breathing are all typical symptoms of COVID-19. A reliable detection technique is needed to identify affected individuals and care for them in the early stages of COVID-19 and reduce the virus's transmission. The most accessible method for COVID-19 identification is RT-PCR; however, due to its time commitment and false-negative results, alternative options must be sought. Indeed, compared to RT-PCR, chest CT scans and chest X-ray images provide superior results. Because of the scarcity and high cost of CT scan equipment, X-ray images are preferable for screening. In this paper, a pre-trained network, DenseNet169, was employed to extract features from X-ray images. Features were chosen by a feature selection method (ANOVA) to reduce computations and time complexity while overcoming the curse of dimensionality to improve predictive accuracy. Finally, selected features were classified by XGBoost. The ChestX-ray8 dataset, which was employed to train and evaluate the proposed method. This method reached 98.72% accuracy for two-class classification (COVID-19, healthy) and 92% accuracy for three-class classification (COVID-19, healthy, pneumonia).




Abstract:In late 2019 and after COVID-19 pandemic in the world, many researchers and scholars have tried to provide methods for detection of COVID-19 cases. Accordingly, this study focused on identifying COVID-19 cases from chest X-ray images. In this paper, a novel approach to diagnosing coronavirus disease from X-ray images was proposed. In the proposed method, DenseNet169 deep neural network was used to extract the features of X-ray images taken from the patients' chest and the extracted features were then given as input to the Extreme Gradient Boosting (XGBoost) algorithm so that it could perform the classification task. Evaluation of the proposed approach and its comparison with the methods presented in recent years revealed that the proposed method was more accurate and faster than the existing ones and had an acceptable performance in detection of COVID-19 cases from X-ray images.