



Abstract:Purpose: A fast data-driven optimization approach, named bias-accelerated subset selection (BASS), is proposed for learning efficacious sampling patterns (SPs) with the purpose of reducing scan time in large-dimensional parallel MRI. Methods: BASS is applicable when Cartesian fully-sampled k-space data of specific anatomy is available for training and the reconstruction method is specified, learning which k-space points are more relevant for the specific anatomy and reconstruction in recovering the non-sampled points. BASS was tested with four reconstruction methods for parallel MRI based on low-rankness and sparsity that allow a free choice of the SP. Two datasets were tested, one of the brain images for high-resolution imaging and another of knee images for quantitative mapping of the cartilage. Results: BASS, with its low computational cost and fast convergence, obtained SPs 100 times faster than the current best greedy approaches. Reconstruction quality increased up to 45\% with our learned SP over that provided by variable density and Poisson disk SPs, considering the same scan time. Optionally, the scan time can be nearly halved without loss of reconstruction quality. Conclusion: Compared with current approaches, BASS can be used to rapidly learn effective SPs for various reconstruction methods, using larger SP and larger datasets. This enables a better selection of efficacious sampling-reconstruction pairs for specific MRI problems.




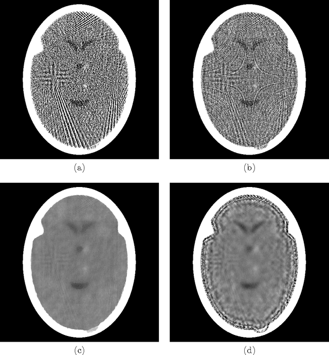
Abstract:To reduce the x-ray dose in computerized tomography (CT), many constrained optimization approaches have been proposed aiming at minimizing a regularizing function that measures lack of consistency with some prior knowledge about the object that is being imaged, subject to a (predetermined) level of consistency with the detected attenuation of x-rays. Proponents of the shearlet transform in the regularizing function claim that the reconstructions so obtained are better than those produced using TV for texture preservation (but may be worse for noise reduction). In this paper we report results related to this claim. In our reported experiments using simulated CT data collection of the head, reconstructions whose shearlet transform has a small $\ell_1$-norm are not more efficacious than reconstructions that have a small TV value. Our experiments for making such comparisons use the recently-developed superiorization methodology for both regularizing functions. Superiorization is an automated procedure for turning an iterative algorithm for producing images that satisfy a primary criterion (such as consistency with the observed measurements) into its superiorized version that will produce results that, according to the primary criterion are as good as those produced by the original algorithm, but in addition are superior to them according to a secondary (regularizing) criterion. The method presented for superiorization involving the $\ell_1$-norm of the shearlet transform is novel and is quite general: It can be used for any regularizing function that is defined as the $\ell_1$-norm of a transform specified by the application of a matrix. Because in the previous literature the split Bregman algorithm is used for similar purposes, a section is included comparing the results of the superiorization algorithm with the split Bregman algorithm.