



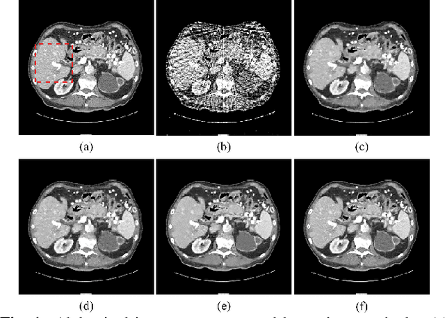
Traditional dictionary learning based CT reconstruction methods are patch-based and the features learned with these methods often contain shifted versions of the same features. To deal with these problems, the convolutional sparse coding (CSC) has been proposed and introduced into various applications. In this paper, inspired by the successful applications of CSC in the field of signal processing, we propose a novel sparse-view CT reconstruction method based on CSC with gradient regularization on feature maps. By directly working on whole image, which need not to divide the image into overlapped patches like dictionary learning based methods, the proposed method can maintain more details and avoid the artifacts caused by patch aggregation. Experimental results demonstrate that the proposed method has better performance than several existing algorithms in both qualitative and quantitative aspects.