



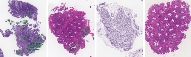
The automated segmentation of cancer tissue in histopathology images can help clinicians to detect, diagnose, and analyze such disease. Different from other natural images used in many convolutional networks for benchmark, histopathology images can be extremely large, and the cancerous patterns can reach beyond 1000 pixels. Therefore, the well-known networks in the literature were never conceived to handle these peculiarities. In this work, we propose a Fully Convolutional DenseUNet that is particularly designed to solve histopathology problems. We evaluated our network in two public pathology datasets published as challenges in the recent MICCAI 2019: binary segmentation in colon cancer images (DigestPath2019), and multi-class segmentation in prostate cancer images (Gleason2019), achieving similar and better results than the winners of the challenges, respectively. Furthermore, we discussed some good practices in the training setup to yield the best performance and the main challenges in these histopathology datasets.