



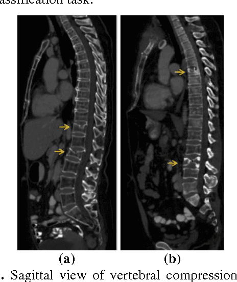
Classification of vertebral compression fractures (VCF) having osteoporotic or neoplastic origin is fundamental to the planning of treatment. We developed a fracture classification system by acquiring quantitative morphologic and bone density determinants of fracture progression through the use of automated measurements from longitudinal studies. A total of 250 CT studies were acquired for the task, each having previously identified VCFs with osteoporosis or neoplasm. Thirty-six features or each identified VCF were computed and classified using a committee of support vector machines. Ten-fold cross validation on 695 identified fractured vertebrae showed classification accuracies of 0.812, 0.665, and 0.820 for the measured, longitudinal, and combined feature sets respectively.