



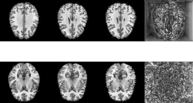
Quantification of uncertainty in deep-neural-networks (DNN) based image registration algorithms plays an important role in the safe deployment of real-world medical applications and research-oriented processing pipelines, and in improving generalization capabilities. Currently available approaches for uncertainty estimation, including the variational encoder-decoder architecture and the inference-time dropout approach, require specific network architectures and assume parametric distribution of the latent space which may result in sub-optimal characterization of the posterior distribution for the predicted deformation-fields. We introduce the NPBDREG, a fully non-parametric Bayesian framework for unsupervised DNN-based deformable image registration by combining an \texttt{Adam} optimizer with stochastic gradient Langevin dynamics (SGLD) to characterize the true posterior distribution through posterior sampling. The NPBDREG provides a principled non-parametric way to characterize the true posterior distribution, thus providing improved uncertainty estimates and confidence measures in a theoretically well-founded and computationally efficient way. We demonstrated the added-value of NPBDREG, compared to the baseline probabilistic \texttt{VoxelMorph} unsupervised model (PrVXM), on brain MRI images registration using $390$ image pairs from four publicly available databases: MGH10, CMUC12, ISBR18 and LPBA40. The NPBDREG shows a slight improvement in the registration accuracy compared to PrVXM (Dice score of $0.73$ vs. $0.68$, $p \ll 0.01$), a better generalization capability for data corrupted by a mixed structure noise (e.g Dice score of $0.729$ vs. $0.686$ for $\alpha=0.2$) and last but foremost, a significantly better correlation of the predicted uncertainty with out-of-distribution data ($r>0.95$ vs. $r<0.5$).