



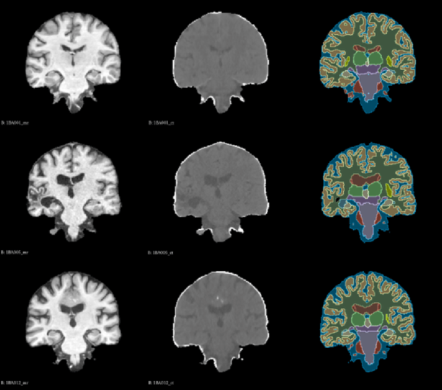
Deformable image registration is an essential approach for medical image analysis.This paper introduces MambaMorph, an innovative multi-modality deformable registration network, specifically designed for Magnetic Resonance (MR) and Computed Tomography (CT) image alignment. MambaMorph stands out with its Mamba-based registration module and a contrastive feature learning approach, addressing the prevalent challenges in multi-modality registration. The network leverages Mamba blocks for efficient long-range modeling and high-dimensional data processing, coupled with a feature extractor that learns fine-grained features for enhanced registration accuracy. Experimental results showcase MambaMorph's superior performance over existing methods in MR-CT registration, underlining its potential in clinical applications. This work underscores the significance of feature learning in multi-modality registration and positions MambaMorph as a trailblazing solution in this field. The code for MambaMorph is available at: https://github.com/Guo-Stone/MambaMorph.