



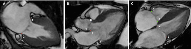
Valve annuli motion and morphology, measured from non-invasive imaging, can be used to gain a better understanding of healthy and pathological heart function. Measurements such as long-axis strain as well as peak strain rates provide markers of systolic function. Likewise, early and late-diastolic filling velocities are used as indicators of diastolic function. Quantifying global strains, however, requires a fast and precise method of tracking long-axis motion throughout the cardiac cycle. Valve landmarks such as the insertion of leaflets into the myocardial wall provide features that can be tracked to measure global long-axis motion. Feature tracking methods require initialisation, which can be time-consuming in studies with large cohorts. Therefore, this study developed and trained a neural network to identify ten features from unlabeled long-axis MR images: six mitral valve points from three long-axis views, two aortic valve points and two tricuspid valve points. This study used manual annotations of valve landmarks in standard 2-, 3- and 4-chamber long-axis images collected in clinical scans to train the network. The accuracy in the identification of these ten features, in pixel distance, was compared with the accuracy of two commonly used feature tracking methods as well as the inter-observer variability of manual annotations. Clinical measures, such as valve landmark strain and motion between end-diastole and end-systole, are also presented to illustrate the utility and robustness of the method.