



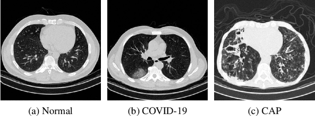
We propose a two-stage Convolutional Neural Network (CNN) based classification framework for detecting COVID-19 and Community-Acquired Pneumonia (CAP) using the chest Computed Tomography (CT) scan images. In the first stage, an infection - COVID-19 or CAP, is detected using a pre-trained DenseNet architecture. Then, in the second stage, a fine-grained three-way classification is done using EfficientNet architecture. The proposed COVID+CAP-CNN framework achieved a slice-level classification accuracy of over 94% at identifying COVID-19 and CAP. Further, the proposed framework has the potential to be an initial screening tool for differential diagnosis of COVID-19 and CAP, achieving a validation accuracy of over 89.3% at the finer three-way COVID-19, CAP, and healthy classification. Within the IEEE ICASSP 2021 Signal Processing Grand Challenge (SPGC) on COVID-19 Diagnosis, our proposed two-stage classification framework achieved an overall accuracy of 90% and sensitivity of .857, .9, and .942 at distinguishing COVID-19, CAP, and normal individuals respectively, to rank first in the evaluation. Code and model weights are available at https://github.com/shubhamchaudhary2015/ct_covid19_cap_cnn