



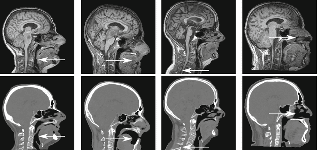
MR-only radiotherapy treatment planning requires accurate MR-to-CT synthesis. Current deep learning methods for MR-to-CT synthesis depend on pairwise aligned MR and CT training images of the same patient. However, misalignment between paired images could lead to errors in synthesized CT images. To overcome this, we propose to train a generative adversarial network (GAN) with unpaired MR and CT images. A GAN consisting of two synthesis convolutional neural networks (CNNs) and two discriminator CNNs was trained with cycle consistency to transform 2D brain MR image slices into 2D brain CT image slices and vice versa. Brain MR and CT images of 24 patients were analyzed. A quantitative evaluation showed that the model was able to synthesize CT images that closely approximate reference CT images, and was able to outperform a GAN model trained with paired MR and CT images.