



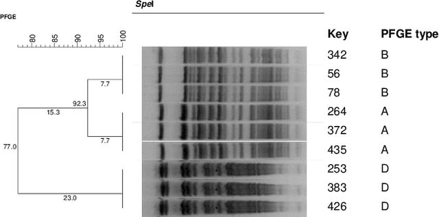
In this work, we analyze if it is possible to distinguish between different clones of the same bacteria species (Klebsiella pneumoniae) based only on microscopic images. It is a challenging task, previously considered impossible due to the high clones similarity. For this purpose, we apply a multi-step algorithm with attention-based multiple instance learning. Except for obtaining accuracy at the level of 0.9, we introduce extensive interpretability based on CellProfiler and persistence homology, increasing the understandability and trust in the model.