



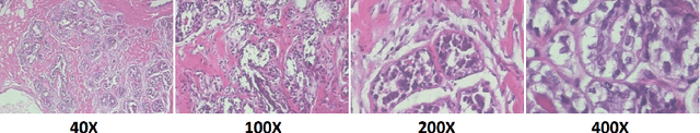
In practice, histopathological diagnosis of tumor malignancy often requires a human expert to scan through histopathological images at multiple magnification levels, after which a final diagnosis can be accurately determined. However, previous research on such classification tasks using convolutional neural networks primarily determine a diagnosis for a single magnification level. In this paper, we propose a case-based approach using deep residual neural networks for histopathological malignancy diagnosis, where a case is defined as a sequence of images from the patient at all available levels of magnification. Effectively, through mimicking what a human expert would actually do, our approach makes a diagnosis decision based on features learned in combination at multiple magnification levels. Our results show that the case-based approach achieves better performance than the state-of-the-art methods when evaluated on BreaKHis, a histopathological image dataset for breast tumors.