



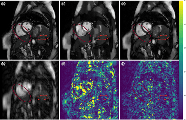
The acquisition of Magnetic Resonance Imaging (MRI) is inherently slow. Inspired by recent advances in deep learning, we propose a framework for reconstructing MR images from undersampled data using a deep cascade of convolutional neural networks to accelerate the data acquisition process. We show that for Cartesian undersampling of 2D cardiac MR images, the proposed method outperforms the state-of-the-art compressed sensing approaches, such as dictionary learning-based MRI (DLMRI) reconstruction, in terms of reconstruction error, perceptual quality and reconstruction speed for both 3-fold and 6-fold undersampling. Compared to DLMRI, the error produced by the method proposed is approximately twice as small, allowing to preserve anatomical structures more faithfully. Using our method, each image can be reconstructed in 23 ms, which is fast enough to enable real-time applications.