



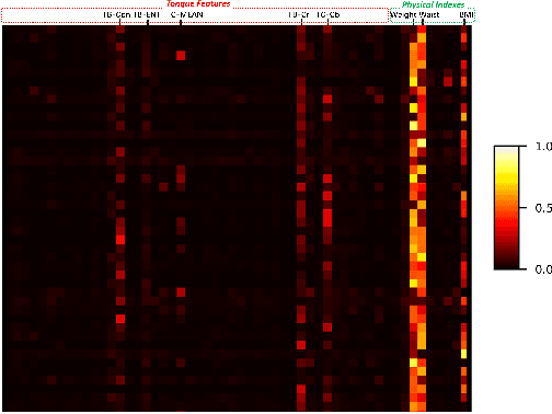
Abstract:Non-alcoholic fatty liver disease (NAFLD) is a clinicopathological syndrome characterized by hepatic steatosis resulting from the exclusion of alcohol and other identifiable liver-damaging factors. It has emerged as a leading cause of chronic liver disease worldwide. Currently, the conventional methods for NAFLD detection are expensive and not suitable for users to perform daily diagnostics. To address this issue, this study proposes a non-invasive and interpretable NAFLD diagnostic method, the required user-provided indicators are only Gender, Age, Height, Weight, Waist Circumference, Hip Circumference, and tongue image. This method involves merging patients' physiological indicators with tongue features, which are then input into a fusion network named SelectorNet. SelectorNet combines attention mechanisms with feature selection mechanisms, enabling it to autonomously learn the ability to select important features. The experimental results show that the proposed method achieves an accuracy of 77.22\% using only non-invasive data, and it also provides compelling interpretability matrices. This study contributes to the early diagnosis of NAFLD and the intelligent advancement of TCM tongue diagnosis. The project in this paper is available at: https://github.com/cshan-github/SelectorNet.
Abstract:Tongue segmentation serves as the primary step in automated TCM tongue diagnosis, which plays a significant role in the diagnostic results. Currently, numerous deep learning based methods have achieved promising results. However, most of these methods exhibit mediocre performance on tongues different from the training set. To address this issue, this paper proposes a universal tongue segmentation model named TongueSAM based on SAM (Segment Anything Model). SAM is a large-scale pretrained interactive segmentation model known for its powerful zero-shot generalization capability. Applying SAM to tongue segmentation enables the segmentation of various types of tongue images with zero-shot. In this study, a Prompt Generator based on object detection is integrated into SAM to enable an end-to-end automated tongue segmentation method. Experiments demonstrate that TongueSAM achieves exceptional performance across various of tongue segmentation datasets, particularly under zero-shot. TongueSAM can be directly applied to other datasets without fine-tuning. As far as we know, this is the first application of large-scale pretrained model for tongue segmentation. The project and pretrained model of TongueSAM be publiced in :https://github.com/cshan-github/TongueSAM.