



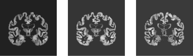
Abstract:Although convolutional neural networks (CNN) achieve high diagnostic accuracy for detecting Alzheimer's disease (AD) dementia based on magnetic resonance imaging (MRI) scans, they are not yet applied in clinical routine. One important reason for this is a lack of model comprehensibility. Recently developed visualization methods for deriving CNN relevance maps may help to fill this gap. We investigated whether models with higher accuracy also rely more on discriminative brain regions predefined by prior knowledge. We trained a CNN for the detection of AD in N=663 T1-weighted MRI scans of patients with dementia and amnestic mild cognitive impairment (MCI) and verified the accuracy of the models via cross-validation and in three independent samples including N=1655 cases. We evaluated the association of relevance scores and hippocampus volume to validate the clinical utility of this approach. To improve model comprehensibility, we implemented an interactive visualization of 3D CNN relevance maps. Across three independent datasets, group separation showed high accuracy for AD dementia vs. controls (AUC$\geq$0.92) and moderate accuracy for MCI vs. controls (AUC$\approx$0.75). Relevance maps indicated that hippocampal atrophy was considered as the most informative factor for AD detection, with additional contributions from atrophy in other cortical and subcortical regions. Relevance scores within the hippocampus were highly correlated with hippocampal volumes (Pearson's r$\approx$-0.81). The relevance maps highlighted atrophy in regions that we had hypothesized a priori. This strengthens the comprehensibility of the CNN models, which were trained in a purely data-driven manner based on the scans and diagnosis labels. The high hippocampus relevance scores and high performance achieved in independent samples support the validity of the CNN models in the detection of AD-related MRI abnormalities.




Abstract:Deep Neural Networks - especially Convolutional Neural Network (ConvNet) has become the state-of-the-art for image classification, pattern recognition and various computer vision tasks. ConvNet has a huge potential in medical domain for analyzing medical data to diagnose diseases in an efficient way. Based on extracted features by ConvNet model from MRI data, early diagnosis is very crucial for preventing progress and treating the Alzheimer's disease. Despite having the ability to deliver great performance, absence of interpretability of the model's decision can lead to misdiagnosis which can be life threatening. In this thesis, learned shape features and abstractions by 3D ConvNets for detecting Alzheimer's disease were investigated using various visualization techniques. How changes in network structures, used filters sizes and filters shapes affects the overall performance and learned features of the model were also inspected. LRP relevance map of different models revealed which parts of the brain were more relevant for the classification decision. Comparing the learned filters by Activation Maximization showed how patterns were encoded in different layers of the network. Finally, transfer learning from a convolutional autoencoder was implemented to check whether increasing the number of training samples with patches of input to extract the low-level features improves learned features and the model performance.




Abstract:Convolutional neural networks (CNN) have become a powerful tool for detecting patterns in image data. Recent papers report promising results in the domain of disease detection using brain MRI data. Despite the high accuracy obtained from CNN models for MRI data so far, almost no papers provided information on the features or image regions driving this accuracy as adequate methods were missing or challenging to apply. Recently, the toolbox iNNvestigate has become available, implementing various state of the art methods for deep learning visualizations. Currently, there is a great demand for a comparison of visualization algorithms to provide an overview of the practical usefulness and capability of these algorithms. Therefore, this thesis has two goals: 1. To systematically evaluate the influence of CNN hyper-parameters on model accuracy. 2. To compare various visualization methods with respect to the quality (i.e. randomness/focus, soundness).