



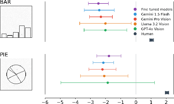
Abstract:Multimodal Large Language Models (MLLMs) have remarkably progressed in analyzing and understanding images. Despite these advancements, accurately regressing values in charts remains an underexplored area for MLLMs. For visualization, how do MLLMs perform when applied to graphical perception tasks? Our paper investigates this question by reproducing Cleveland and McGill's seminal 1984 experiment and comparing it against human task performance. Our study primarily evaluates fine-tuned and pretrained models and zero-shot prompting to determine if they closely match human graphical perception. Our findings highlight that MLLMs outperform human task performance in some cases but not in others. We highlight the results of all experiments to foster an understanding of where MLLMs succeed and fail when applied to data visualization.
Abstract:During tumor resection surgery, surgeons rely on neuronavigation to locate tumors and other critical structures in the brain. Most neuronavigation is based on preoperative images, such as MRI and ultrasound, to navigate through the brain. Neuronavigation acts like GPS for the brain, guiding neurosurgeons during the procedure. However, brain shift, a dynamic deformation caused by factors such as osmotic concentration, fluid levels, and tissue resection, can invalidate the preoperative images and introduce registration uncertainty. Considering and effectively visualizing this uncertainty has the potential to help surgeons trust the navigation again. Uncertainty has been studied in various domains since the 19th century. Considering uncertainty requires two essential components: 1) quantifying uncertainty; and 2) conveying the quantified values to the observer. There has been growing interest in both of these research areas during the past few decades.




Abstract:Can web-based image processing and visualization tools easily integrate into existing websites without significant time and effort? Our Boostlet.js library addresses this challenge by providing an open-source, JavaScript-based web framework to enable additional image processing functionalities. Boostlet examples include kernel filtering, image captioning, data visualization, segmentation, and web-optimized machine-learning models. To achieve this, Boostlet.js uses a browser bookmark to inject a user-friendly plugin selection tool called PowerBoost into any host website. Boostlet also provides on-site access to a standard API independent of any visualization framework for pixel data and scene manipulation. Web-based Boostlets provide a modular architecture and client-side processing capabilities to apply advanced image-processing techniques using consumer-level hardware. The code is open-source and available.