



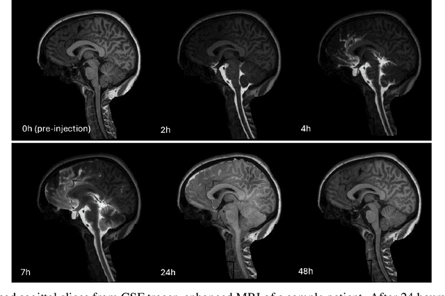
Abstract:Previous work shows evidence that cerebrospinal fluid (CSF) plays a crucial role in brain waste clearance processes, and that altered flow patterns are associated with various diseases of the central nervous system. In this study, we investigate the potential of deep learning to predict the distribution in human brain of a gadolinium-based CSF contrast agent (tracer) administered intrathecal. For this, T1-weighted magnetic resonance imaging (MRI) scans taken at multiple time points before and after intrathecal injection were utilized. We propose a U-net-based supervised learning model to predict pixel-wise signal increases at their peak after 24 hours. Its performance is evaluated based on different tracer distribution stages provided during training, including predictions from baseline scans taken before injection. Our findings indicate that using imaging data from just the first two hours post-injection for training yields tracer flow predictions comparable to those trained with additional later-stage scans. The model was further validated by comparing ventricular reflux gradings provided by neuroradiologists, and inter-rater grading among medical experts and the model showed excellent agreement. Our results demonstrate the potential of deep learning-based methods for CSF flow prediction, suggesting that fewer MRI scans could be sufficient for clinical analysis, which might significantly improve clinical efficiency, patient well-being, and lower healthcare costs.