Abstract:After entering the era of big data, more and more companies build services with machine learning techniques. However, it is costly for companies to collect data and extract helpful handcraft features on their own. Although it is a way to combine with other companies' data for boosting the model's performance, this approach may be prohibited by laws. In other words, finding the balance between sharing data with others and keeping data from privacy leakage is a crucial topic worthy of close attention. This paper focuses on distributed data and conducts secure model training tasks on a vertical federated learning scheme. Here, secure implies that the whole process is executed in the encrypted domain. Therefore, the privacy concern is released.





Abstract:Face verification is a well-known image analysis application and is widely used to recognize individuals in contemporary society. However, most real-world recognition systems ignore the importance of protecting the identity-sensitive facial images that are used for verification. To address this problem, we investigate how to implement a secure face verification system that protects the facial images from being imitated. In our work, we use the DeepID2 convolutional neural network to extract the features of a facial image and an EM algorithm to solve the facial verification problem. To maintain the privacy of facial images, we apply homomorphic encryption schemes to encrypt the facial data and compute the EM algorithm in the ciphertext domain. We develop three face verification systems for surveillance (or entrance) control of a local community based on three levels of privacy concerns. The associated timing performances are presented to demonstrate their feasibility for practical implementation.





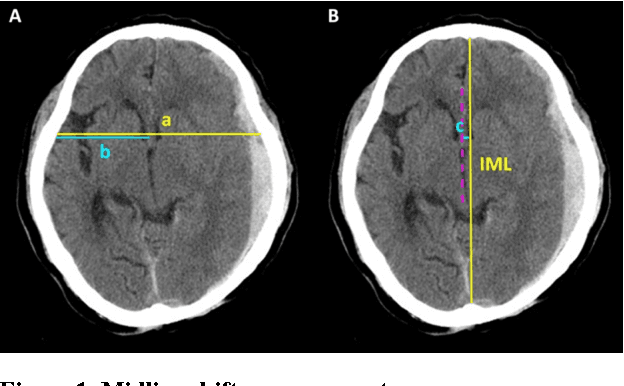
Abstract:Brain CT has become a standard imaging tool for emergent evaluation of brain condition, and measurement of midline shift (MLS) is one of the most important features to address for brain CT assessment. We present a simple method to estimate MLS and propose a new alternative parameter to MLS: the ratio of MLS over the maximal width of intracranial region (MLS/ICWMAX). Three neurosurgeons and our automated system were asked to measure MLS and MLS/ICWMAX in the same sets of axial CT images obtained from 41 patients admitted to ICU under neurosurgical service. A weighted midline (WML) was plotted based on individual pixel intensities, with higher weighted given to the darker portions. The MLS could then be measured as the distance between the WML and ideal midline (IML) near the foramen of Monro. The average processing time to output an automatic MLS measurement was around 10 seconds. Our automated system achieved an overall accuracy of 90.24% when the CT images were calibrated automatically, and performed better when the calibrations of head rotation were done manually (accuracy: 92.68%). MLS/ICWMAX and MLS both gave results in same confusion matrices and produced similar ROC curve results. We demonstrated a simple, fast and accurate automated system of MLS measurement and introduced a new parameter (MLS/ICWMAX) as a good alternative to MLS in terms of estimating the degree of brain deformation, especially when non-DICOM images (e.g. JPEG) are more easily accessed.
