



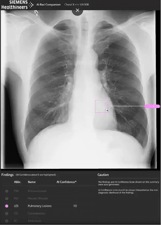
Abstract:Research question: How can we establish an AI support for reading of chest X-rays in clinical routine and which benefits emerge for the clinicians and radiologists. Can it perform 24/7 support for practicing clinicians? 2. Findings: We installed an AI solution for Chest X-ray in a given structure (MVZ Uhlenbrock & Partner, Germany). We could demonstrate the practicability, performance, and benefits in 10 connected clinical sites. 3. Meaning: A commercially available AI solution for the evaluation of Chest X-ray images is able to help radiologists and clinical colleagues 24/7 in a complex environment. The system performs in a robust manner, supporting radiologists and clinical colleagues in their important decisions, in practises and hospitals regardless of the user and X-ray system type producing the image-data.