

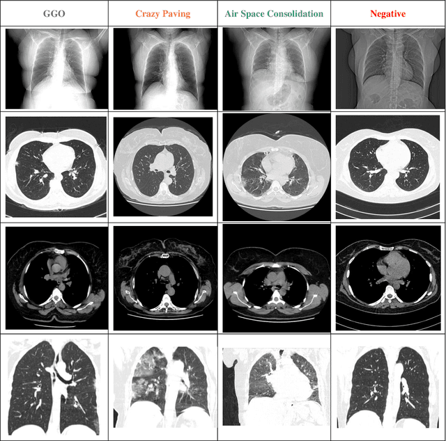
Abstract:During the COVID-19 pandemic, computed tomography (CT) is a good way to diagnose COVID-19 patients. HRCT (High-Resolution Computed Tomography) is a form of computed tomography that uses advanced methods to improve image resolution. Publicly accessible COVID-19 CT image datasets are very difficult to come by due to privacy concerns, which impedes the study and development of AI-powered COVID-19 diagnostic algorithms based on CT images. To address this problem, we have introduced HRCTv1-COVID-19, a new COVID-19 high resolution chest CT Scan image dataset that includes not only COVID-19 cases of Ground Glass Opacity (GGO), Crazy Paving, and Air Space Consolidation, but also CT images of cases with negative COVID-19. The HRCTv1-COVID-19 dataset, which includes slice-level, and patient-level labels, has the potential to aid COVID-19 research, especially for diagnosis and differentiation using artificial intelligence algorithms, machine learning and deep learning methods. This dataset is accessible through web at: http://databiox.com and includes 181,106 chest HRCT images from 395 patients with four labels: GGO, Crazy Paving, Air Space Consolidation and Negative. Keywords- Dataset, COVID-19, CT-Scan, Computed Tomography, Medical Imaging, Chest Image.