



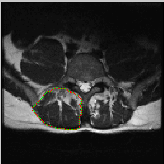
Abstract:In this paper we present an interactive tool that can be used to quantify fat infiltration in lumbar muscles, which is useful in studying fat infiltration and lower back pain (LBP) in adults. Currently, a qualitative assessment by visual grading via a 5-point scale is used to study fat infiltration in lumbar muscles from an axial view of lumbar-spine MR Images. However, a quantitative approach (on a continuous scale of 0-100\%) may provide a greater insight. In this paper, we propose a method to precisely quantify the fat deposition / infiltration in a user-defined region of the lumbar muscles, which may aid better diagnosis and analysis. The key steps are interactively segmenting the region of interest (ROI) from the lumbar muscles using the well known livewire technique, identifying fatty regions in the segmented region based on variable-selection of threshold and softness levels, automatically detecting the center of the spinal column and fragmenting the lumbar muscles into smaller regions with reference to the center of the spinal column, computing key parameters [such as total and region-wise fat content percentage, total-cross sectional area (TCSA) and functional cross-sectional area (FCSA)] and exporting the computations and associated patient information from the MRI, into a database. A standalone application using MATLAB R2014a was developed to perform the required computations along with an intuitive graphical user interface (GUI).