



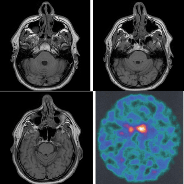
Abstract:This paper presents a new method for medical diagnosis of neurodegenerative diseases, such as Parkinson's, by extracting and using latent information from trained Deep convolutional, or convolutional-recurrent Neural Networks (DNNs). In particular, our approach adopts a combination of transfer learning, k-means clustering and k-Nearest Neighbour classification of deep neural network learned representations to provide enriched prediction of the disease based on MRI and/or DaT Scan data. A new loss function is introduced and used in the training of the DNNs, so as to perform adaptation of the generated learned representations between data from different medical environments. Results are presented using a recently published database of Parkinson's related information, which was generated and evaluated in a hospital environment.