



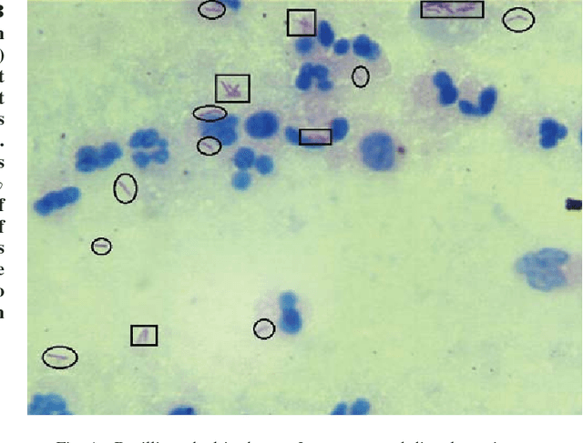
Tuberculosis(TB) in India is the world's largest TB epidemic. TB leads to 480,000 deaths every year. Between the years 2006 and 2014, Indian economy lost US$340 Billion due to TB. This combined with the emergence of drug resistant bacteria in India makes the problem worse. The government of India has hence come up with a new strategy which requires a high-sensitivity microscopy based TB diagnosis mechanism. We propose a new Deep Neural Network based drug sensitive TB detection methodology with recall and precision of 83.78% and 67.55% respectively for bacillus detection. This method takes a microscopy image with proper zoom level as input and returns location of suspected TB germs as output. The high accuracy of our method gives it the potential to evolve into a high sensitivity system to diagnose TB when trained at scale.