



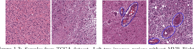
Object Classification is a key direction of research in signal and image processing, computer vision and artificial intelligence. The goal is to come up with algorithms that automatically analyze images and put them in predefined categories. This dissertation focuses on the theory and application of sparse signal processing and learning algorithms for image processing and computer vision, especially object classification problems. A key emphasis of this work is to formulate novel optimization problems for learning dictionary and structured sparse representations. Tractable solutions are proposed subsequently for the corresponding optimization problems. An important goal of this dissertation is to demonstrate the wide applications of these algorithmic tools for real-world applications. To that end, we explored important problems in the areas of: 1. Medical imaging: histopathological images acquired from mammalian tissues, human breast tissues, and human brain tissues. 2. Low-frequency (UHF to L-band) ultra-wideband (UWB) synthetic aperture radar: detecting bombs and mines buried under rough surfaces. 3. General object classification: face, flowers, objects, dogs, indoor scenes, etc.