



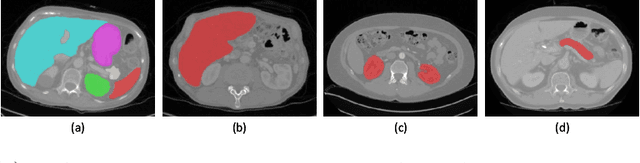
Multi-organ segmentation has extensive applications in many clinical applications. To segment multiple organs of interest, it is generally quite difficult to collect full annotations of all the organs on the same images, as some medical centers might only annotate a portion of the organs due to their own clinical practice. In most scenarios, one might obtain annotations of a single or a few organs from one training set, and obtain annotations of the the other organs from another set of training images. Existing approaches mostly train and deploy a single model for each subset of organs, which are memory intensive and also time inefficient. In this paper, we propose to co-train weight-averaged models for learning a unified multi-organ segmentation network from few-organ datasets. We collaboratively train two networks and let the coupled networks teach each other on un-annotated organs. To alleviate the noisy teaching supervisions between the networks, the weighted-averaged models are adopted to produce more reliable soft labels. In addition, a novel region mask is utilized to selectively apply the consistent constraint on the un-annotated organ regions that require collaborative teaching, which further boosts the performance. Extensive experiments on three public available single-organ datasets LiTS, KiTS, Pancreas and manually-constructed single-organ datasets from MOBA show that our method can better utilize the few-organ datasets and achieves superior performance with less inference computational cost.