


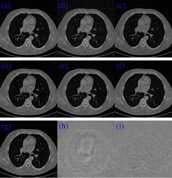
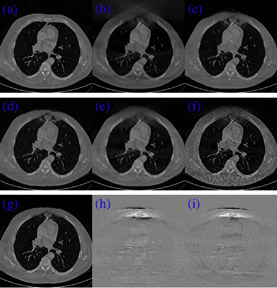
CT image reconstruction from incomplete data, such as sparse views and limited angle reconstruction, is an important and challenging problem in medical imaging. This work proposes a new deep convolutional neural network (CNN), called JSR-Net, that jointly reconstructs CT images and their associated Radon domain projections. JSR-Net combines the traditional model based approach with deep architecture design of deep learning. A hybrid loss function is adopted to improve the performance of the JSR-Net making it more effective in protecting important image structures. Numerical experiments demonstrate that JSR-Net outperforms some latest model based reconstruction methods, as well as a recently proposed deep model.