



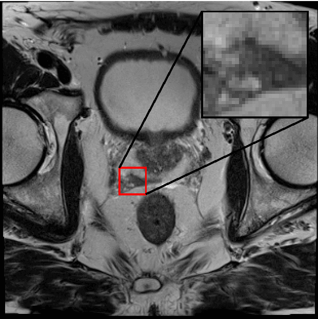
Generative Adversarial Neural Networks (GANs) are applied to the synthetic generation of prostate lesion MRI images. GANs have been applied to a variety of natural images, is shown show that the same techniques can be used in the medical domain to create realistic looking synthetic lesion images. 16mm x 16mm patches are extracted from 330 MRI scans from the SPIE ProstateX Challenge 2016 and used to train a Deep Convolutional Generative Adversarial Neural Network (DCGAN) utilizing cutting edge techniques. Synthetic outputs are compared to real images and the implicit latent representations induced by the GAN are explored. Training techniques and successful neural network architectures are explained in detail.