



Abstract:Convolutional neural networks (CNN) are known for their excellent feature extraction capabilities to enable the learning of models from data, yet are used as black boxes. An interpretation of the convolutional filtres and associated features can help to establish an understanding of CNN to distinguish various classes. In this work, we focus on the explainability of a CNN model called as cnnexplain that is used for Covid-19 and non-Covid-19 classification with a focus on the interpretability of features by the convolutional filters, and how these features contribute to classification. Specifically, we have used various explainable artificial intelligence (XAI) methods, such as visualizations, SmoothGrad, Grad-CAM, and LIME to provide interpretation of convolutional filtres, and relevant features, and their role in classification. We have analyzed the explanation of these methods for Covid-19 detection using dry cough spectrograms. Explanation results obtained from the LIME, SmoothGrad, and Grad-CAM highlight important features of different spectrograms and their relevance to classification.




Abstract:Since the rapid outbreak of Covid-19 and with no approved vaccines to date, profound research interest has emerged to understand the innate immune response to viruses. This understanding can help to inhibit virus replication, prolong adaptive immune response, accelerated virus clearance, and tissue recovery, a key milestone to propose a vaccine to combat coronaviruses (CoVs), e.g., Covid-19. Although an innate immune system triggers inflammatory responses against CoVs upon recognition of viruses, however, a vaccine is the ultimate protection against CoV spread. The development of this vaccine is time-consuming and requires a deep understanding of the innate immune response system. In this work, we propose a graph neural network-based model that exploits the interactions between pattern recognition receptors (PRRs), i.e., the human immune response system. These interactions can help to recognize pathogen-associated molecular patterns (PAMPs) to predict the activation requirements of each PRR. The immune response information of each PRR is derived from combining its historical PAMPs activation coupled with the modeled effect on the same from PRRs in its neighborhood. On one hand, this work can help to understand how long Covid-19 can confer immunity where a strong immune response means people already been infected can safely return to work. On the other hand, this GNN-based understanding can also abode well for vaccine development efforts. Our proposal has been evaluated using CoVs immune response dataset, with results showing an average IFNs activation prediction accuracy of 90%, compared to 85% using feed-forward neural networks.




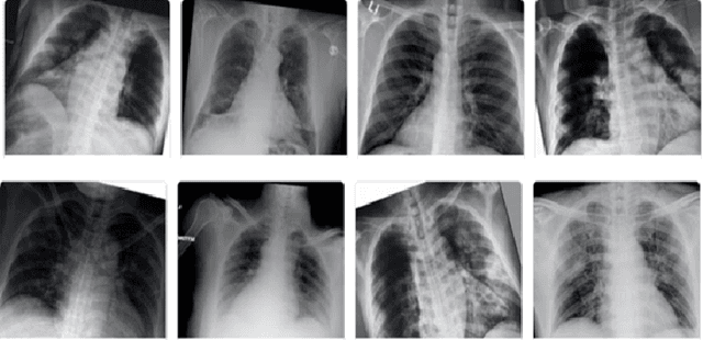
Abstract:Covid-19 detection at an early stage can aid in an effective treatment and isolation plan to prevent its spread. Recently, transfer learning has been used for Covid-19 detection using X-ray, ultrasound, and CT scans. One of the major limitations inherent to these proposed methods is limited labeled dataset size that affects the reliability of Covid-19 diagnosis and disease progression. In this work, we demonstrate that how we can augment limited X-ray images data by using Contrast limited adaptive histogram equalization (CLAHE) to train the last layer of the pre-trained deep learning models to mitigate the bias of transfer learning for Covid-19 detection. We transfer learned various pre-trained deep learning models including AlexNet, ZFNet, VGG-16, ResNet-18, and GoogLeNet, and fine-tune the last layer by using CLAHE-augmented dataset. The experiment results reveal that the CLAHE-based augmentation to various pre-trained deep learning models significantly improves the model efficiency. The pre-trained VCG-16 model with CLAHEbased augmented images achieves a sensitivity of 95% using 15 epochs. AlexNet works show good sensitivity when trained on non-augmented data. Other models demonstrate a value of less than 60% when trained on non-augmented data. Our results reveal that the sample bias can negatively impact the performance of transfer learning which is significantly improved by using CLAHE-based augmentation.




Abstract:In a business-to-business (B2B) customer relationship management (CRM) use case, each client is a potential business organization/company with a solid business strategy and focused and rational decisions. This paper introduces a graph-based analytics approach to improve CRM within a B2B environment. In our approach, in the first instance, we have designed a graph database using the Neo4j platform. Secondly, the graph database has been investigated by using data mining and exploratory analysis coupled with cypher graph query language. Specifically, we have applied the graph convolution network (GCN) to enable CRM analytics to forecast sales. This is the first step towards a GCN-based binary classification based on graph databases in the domain of B2B CRM. We evaluate the performance of the proposed GCN model on graph databases and compare it with Random Forest (RF), Convolutional Neural Network (CNN), and Artificial Neural Network (ANN). The proposed GCN approach is further augmented with the shortest path and eigenvector centrality attribute to significantly improve the accuracy of sales prediction. Experimental results reveal that the proposed graph-based deep learning approach outperforms the Random Forests (RsF) and two deep learning models, i.e., CNN and ANN under different combinations of graph features.




Abstract:Hybrid FSO/RF system requires an efficient FSO and RF link switching mechanism to improve the system capacity by realizing the complementary benefits of both the links. The dynamics of network conditions, such as fog, dust, and sand storms compound the link switching problem and control complexity. To address this problem, we initiate the study of deep reinforcement learning (DRL) for link switching of hybrid FSO/RF systems. Specifically, in this work, we focus on actor-critic called Actor/Critic-FSO/RF and Deep-Q network (DQN) called DQN-FSO/RF for FSO/RF link switching under atmospheric turbulences. To formulate the problem, we define the state, action, and reward function of a hybrid FSO/RF system. DQN-FSO/RF frequently updates the deployed policy that interacts with the environment in a hybrid FSO/RF system, resulting in high switching costs. To overcome this, we lift this problem to ensemble consensus-based representation learning for deep reinforcement called DQNEnsemble-FSO/RF. The proposed novel DQNEnsemble-FSO/RF DRL approach uses consensus learned features representations based on an ensemble of asynchronous threads to update the deployed policy. Experimental results corroborate that the proposed DQNEnsemble-FSO/RF's consensus-learned features switching achieves better performance than Actor/Critic-FSO/RF, DQN-FSO/RF, and MyOpic for FSO/RF link switching while keeping the switching cost significantly low.