



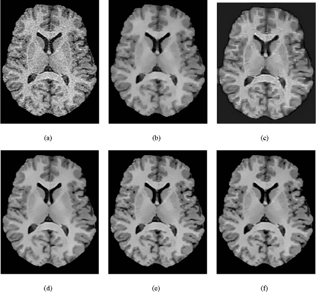
Abstract:The acquisition of MRI images offers a trade-off in terms of acquisition time, spatial/temporal resolution and signal-to-noise ratio (SNR). Thus, for instance, increasing the time efficiency of MRI often comes at the expense of reduced SNR. This, in turn, necessitates the use of post-processing tools for noise rejection, which makes image de-noising an indispensable component of computer assistance diagnosis. In the field of MRI, a multitude of image de-noising methods have been proposed hitherto. In this paper, the application of a particular class of de-noising algorithms - known as non-local mean (NLM) filters - is investigated. Such filters have been recently applied for MRI data enhancement and they have been shown to provide more accurate results as compared to many alternative de-noising algorithms. Unfortunately, virtually all existing methods for NLM filtering have been derived under the assumption of additive white Gaussian (AWG) noise contamination. Since this assumption is known to fail at low values of SNR, an alternative formulation of NLM filtering is required, which would take into consideration the correct Rician statistics of MRI noise. Accordingly, the contribution of the present paper is two-fold. First, it points out some principal disadvantages of the earlier methods of NLM filtering of MRI images and suggests means to rectify them. Second, the paper introduces a new similarity measure for NLM filtering of MRI Images, which is derived under bona fide statistical assumptions and results in more accurate reconstruction of MR scans as compared to alternative NLM approaches. Finally, the utility and viability of the proposed method is demonstrated through a series of numerical experiments using both in silico and in vivo MRI data.