Electronics and Communication Engineering Department, Istanbul Technical University, Istanbul, Turkey




Abstract:Although Total Variation (TV) performs well in noise reduction and edge preservation on images, its dependence on the lambda parameter limits its efficiency and makes it difficult to use effectively. In this study, we present a Learnable Total Variation (LTV) framework that couples an unrolled TV solver with a data-driven Lambda Mapping Network (LambdaNet) predicting a per-pixel regularization map. The pipeline is trained end-to-end so that reconstruction and regularization are optimized jointly, yielding spatially adaptive smoothing: strong in homogeneous regions, relaxed near anatomical boundaries. Experiments on the DeepLesion dataset, using a realistic noise model adapted from the LoDoPaB-CT methodology, show consistent gains over classical TV and FBP+U-Net: +2.9 dB PSNR and +6% SSIM on average. LTV provides an interpretable alternative to black-box CNNs and a basis for 3D and data-consistency-driven reconstruction.
Abstract:We propose a prompt-conditioned framework built on MedSigLIP that injects textual priors via Feature-wise Linear Modulation (FiLM) and multi-scale pooling. Text prompts condition patch-token features on clinical intent, enabling data-efficient learning and rapid adaptation. The architecture combines global, local, and texture-aware pooling through separate regression heads fused by a lightweight MLP, trained with pairwise ranking loss. Evaluated on the LDCTIQA2023 (a public LDCT quality assessment challenge) with 1,000 training images, we achieve PLCC = 0.9575, SROCC = 0.9561, and KROCC = 0.8301, surpassing the top-ranked published challenge submissions and demonstrating the effectiveness of our prompt-guided approach.
Abstract:Block-Matching and 3D Filtering (BM3D) exploits non-local self-similarity priors for denoising but relies on fixed parameters. Deep models such as U-Net are more flexible but often lack interpretability and fail to generalize across noise regimes. In this study, we propose Deep Unfolded BM3D (DU-BM3D), a hybrid framework that unrolls BM3D into a trainable architecture by replacing its fixed collaborative filtering with a learnable U-Net denoiser. This preserves BM3D's non-local structural prior while enabling end-to-end optimization. We evaluate DU-BM3D on low-dose CT (LDCT) denoising and show that it outperforms classic BM3D and standalone U-Net across simulated LDCT at different noise levels, yielding higher PSNR and SSIM, especially in high-noise conditions.




Abstract:Low-dose computed tomography (CT) represents a significant improvement in patient safety through lower radiation doses, but increased noise, blur, and contrast loss can diminish diagnostic quality. Therefore, consistency and robustness in image quality assessment become essential for clinical applications. In this study, we propose an LLM-based quality assessment system that generates both numerical scores and textual descriptions of degradations such as noise, blur, and contrast loss. Furthermore, various inference strategies - from the zero-shot approach to metadata integration and error feedback - are systematically examined, demonstrating the progressive contribution of each method to overall performance. The resultant assessments yield not only highly correlated scores but also interpretable output, thereby adding value to clinical workflows. The source codes of our study are available at https://github.com/itu-biai/lmms_ldct_iqa.




Abstract:Deep learning-based low-dose computed tomography reconstruction methods already achieve high performance on standard image quality metrics like peak signal-to-noise ratio and structural similarity index measure. Yet, they frequently fail to preserve the critical anatomical details needed for diagnostic tasks. This fundamental limitation hinders their clinical applicability despite their high metric scores. We propose a novel task-adaptive reconstruction framework that addresses this gap by incorporating a frozen pre-trained task network as a regularization term in the reconstruction loss function. Unlike existing joint-training approaches that simultaneously optimize both reconstruction and task networks, and risk diverging from satisfactory reconstructions, our method leverages a pre-trained task model to guide reconstruction training while still maintaining diagnostic quality. We validate our framework on a liver and liver tumor segmentation task. Our task-adaptive models achieve Dice scores up to 0.707, approaching the performance of full-dose scans (0.874), and substantially outperforming joint-training approaches (0.331) and traditional reconstruction methods (0.626). Critically, our framework can be integrated into any existing deep learning-based reconstruction model through simple loss function modification, enabling widespread adoption for task-adaptive optimization in clinical practice. Our codes are available at: https://github.com/itu-biai/task_adaptive_ct




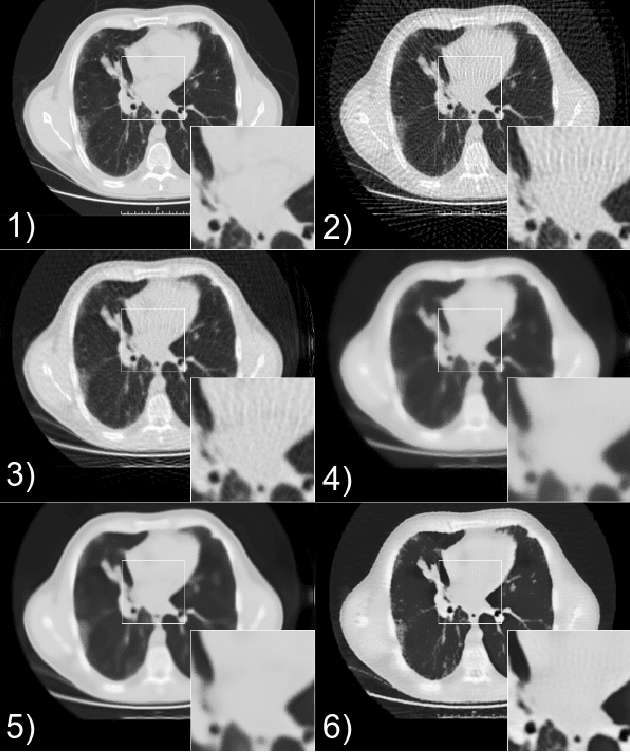
Abstract:In this paper, we introduced a novel deep learning based reconstruction technique using the correlations of all 3 dimensions with each other by taking into account the correlation between 2-dimensional low-dose CT images. Sparse or noisy sinograms are back projected to the image domain with FBP operation, then denoising process is applied with a U-Net like 3 dimensional network called 3D U-NetR. Proposed network is trained with synthetic and real chest CT images, and 2D U-Net is also trained with the same dataset to prove the importance of the 3rd dimension. Proposed network shows better quantitative performance on SSIM and PSNR. More importantly, 3D U-NetR captures medically critical visual details that cannot be visualized by 2D network.




Abstract:Ionizing radiation has been the biggest concern in CT imaging. To reduce the dose level without compromising the image quality, low dose CT reconstruction has been offered with the availability of compressed sensing based reconstruction methods. Recently, data-driven methods got attention with the rise of deep learning, the availability of high computational power, and big datasets. Deep learning based methods have also been used in low dose CT reconstruction problem in different manners. Usually, the success of these methods depends on clean labeled data. However, recent studies showed that training can be achieved successfully without clean datasets. In this study, we defined a training scheme to use low dose sinograms as their own training targets. We applied the self-supervision principle in the projection domain where the noise is element-wise independent as required in these methods. Using the self-supervised training, the filtering part of the FBP method and the parameters of a denoiser neural network are optimized. We demonstrate that our method outperforms both conventional and compressed sensing based iterative reconstruction methods qualitatively and quantitatively in the reconstruction of analytic CT phantoms and real-world CT images in low dose CT reconstruction task.