Abstract:The digitization of healthcare presents numerous challenges, including the complexity of biological systems, vast data generation, and the need for personalized treatment plans. Traditional computational methods often fall short, leading to delayed and sometimes ineffective diagnoses and treatments. Quantum Computing (QC) and Quantum Machine Learning (QML) offer transformative advancements with the potential to revolutionize medicine. This paper summarizes areas where QC promises unprecedented computational power, enabling faster, more accurate diagnostics, personalized treatments, and enhanced drug discovery processes. However, integrating quantum technologies into precision medicine also presents challenges, including errors in algorithms and high costs. We show that mathematically-based techniques for specifying, developing, and verifying software (formal methods) can enhance the reliability and correctness of QC. By providing a rigorous mathematical framework, formal methods help to specify, develop, and verify systems with high precision. In genomic data analysis, formal specification languages can precisely (1) define the behavior and properties of quantum algorithms designed to identify genetic markers associated with diseases. Model checking tools can systematically explore all possible states of the algorithm to (2) ensure it behaves correctly under all conditions, while theorem proving techniques provide mathematical (3) proof that the algorithm meets its specified properties, ensuring accuracy and reliability. Additionally, formal optimization techniques can (4) enhance the efficiency and performance of quantum algorithms by reducing resource usage, such as the number of qubits and gate operations. Therefore, we posit that formal methods can significantly contribute to enabling QC to realize its full potential as a game changer in precision medicine.




Abstract:This study explores the implementation of large Quantum Restricted Boltzmann Machines (QRBMs), a key advancement in Quantum Machine Learning (QML), as generative models on D-Wave's Pegasus quantum hardware to address dataset imbalance in Intrusion Detection Systems (IDS). By leveraging Pegasus's enhanced connectivity and computational capabilities, a QRBM with 120 visible and 120 hidden units was successfully embedded, surpassing the limitations of default embedding tools. The QRBM synthesized over 1.6 million attack samples, achieving a balanced dataset of over 4.2 million records. Comparative evaluations with traditional balancing methods, such as SMOTE and RandomOversampler, revealed that QRBMs produced higher-quality synthetic samples, significantly improving detection rates, precision, recall, and F1 score across diverse classifiers. The study underscores the scalability and efficiency of QRBMs, completing balancing tasks in milliseconds. These findings highlight the transformative potential of QML and QRBMs as next-generation tools in data preprocessing, offering robust solutions for complex computational challenges in modern information systems.




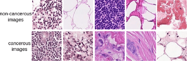
Abstract:We present an effective application of quantum machine learning in histopathological cancer detection. The study here emphasizes two primary applications of hybrid classical-quantum Deep Learning models. The first application is to build a classification model for histopathological cancer detection using the quantum transfer learning strategy. The second application is to test the performance of this model for various adversarial attacks. Rather than using a single transfer learning model, the hybrid classical-quantum models are tested using multiple transfer learning models, especially ResNet18, VGG-16, Inception-v3, and AlexNet as feature extractors and integrate it with several quantum circuit-based variational quantum circuits (VQC) with high expressibility. As a result, we provide a comparative analysis of classical models and hybrid classical-quantum transfer learning models for histopathological cancer detection under several adversarial attacks. We compared the performance accuracy of the classical model with the hybrid classical-quantum model using pennylane default quantum simulator. We also observed that for histopathological cancer detection under several adversarial attacks, Hybrid Classical-Quantum (HCQ) models provided better accuracy than classical image classification models.




Abstract:We present an effective application of quantum machine learning in the field of healthcare. The study here emphasizes on a classification problem of a histopathological cancer detection using quantum transfer learning. Rather than using single transfer learning model, the work model presented here consists of multiple transfer learning models especially ResNet18, VGG-16, Inception-v3, AlexNet and several variational quantum circuits (VQC) with high expressibility. As a result, we provide a comparative analysis of the models and the best performing transfer learning model with the prediction AUC of approximately 93 percent for histopathological cancer detection. We also observed that for 1000 images with Resnet18, Hybrid Quantum and Classical (HQC) provided a slightly better accuracy of 88.5 percent than classical of 88.0 percent.