



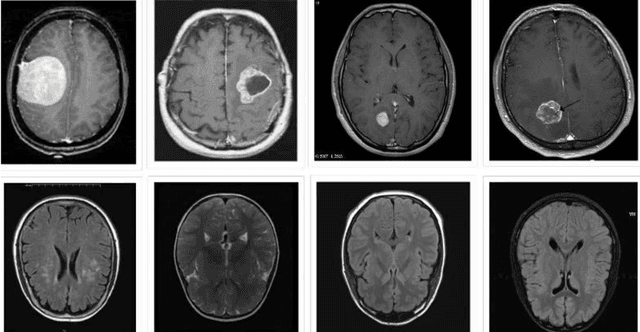
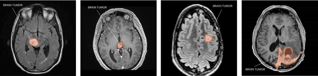
Abstract:The growth of abnormal cells in the brain's tissue causes brain tumors. Brain tumors are considered one of the most dangerous disorders in children and adults. It develops quickly, and the patient's survival prospects are slim if not appropriately treated. Proper treatment planning and precise diagnoses are essential to improving a patient's life expectancy. Brain tumors are mainly diagnosed using magnetic resonance imaging (MRI). As part of a convolution neural network (CNN)-based illustration, an architecture containing five convolution layers, five max-pooling layers, a Flatten layer, and two dense layers has been proposed for detecting brain tumors from MRI images. The proposed model includes an automatic feature extractor, modified hidden layer architecture, and activation function. Several test cases were performed, and the proposed model achieved 98.6% accuracy and 97.8% precision score with a low cross-entropy rate. Compared with other approaches such as adjacent feature propagation network (AFPNet), mask region-based CNN (mask RCNN), YOLOv5, and Fourier CNN (FCNN), the proposed model has performed better in detecting brain tumors.




Abstract:Early detection of fish diseases and identifying the underlying causes are crucial for farmers to take necessary steps to mitigate the potential outbreak, and thus to avert financial losses with apparent negative implications to national economy. Typically, fish diseases are caused by virus and bacteria; according to biochemical studies, the presence of certain bacteria and virus may affect the level of pH, DO, BOD, COD, TSS, TDS, EC, PO43-, NO3-N, and NH3-N in water, resulting in the death of fishes. Besides, natural processes, e.g., photosynthesis, respiration, and decomposition also contribute to the alteration of water quality that adversely affects fish health. Being motivated by the recent successes of machine learning techniques in complex relational data analyses in accurate classification and decision-making tasks, a state-of-art machine learning algorithm has been adopted in this paper to detect and predict the degradation of water quality timely and accurately, thus it helps taking pre-emptive steps against potential fish diseases. The experimental results show a high accuracy in detecting fish diseases particular to specific water quality based on the algorithm with real datasets.




Abstract:The existing real time object detection algorithm is based on the deep neural network of convolution need to perform multilevel convolution and pooling operations on the entire image to extract a deep semantic characteristic of the image. The detection models perform better for large objects. However, these models do not detect small objects with low resolution and noise, because the features of existing models do not fully represent the essential features of small objects after repeated convolution operations. We have introduced a novel real time detection algorithm which employs upsampling and skip connection to extract multiscale features at different convolution levels in a learning task resulting a remarkable performance in detecting small objects. The detection precision of the model is shown to be higher and faster than that of the state-of-the-art models.