



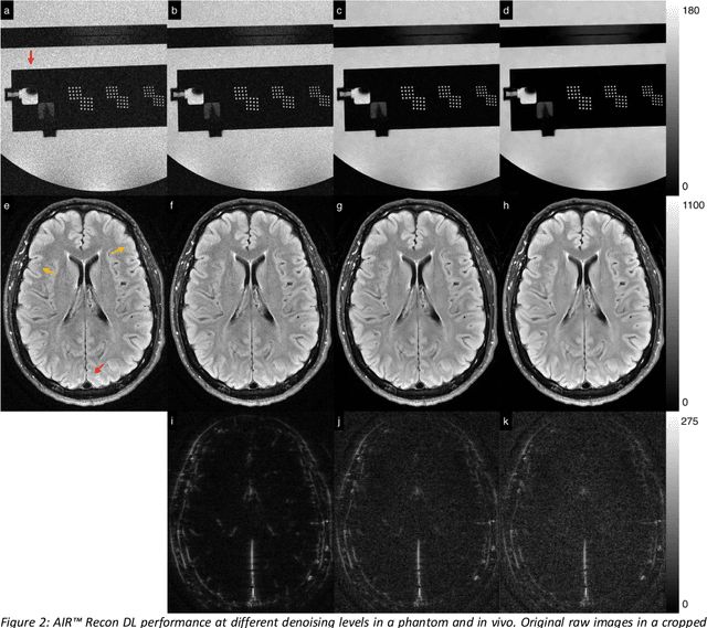
A novel deep learning-based magnetic resonance imaging reconstruction pipeline was designed to address fundamental image quality limitations of conventional reconstruction to provide high-resolution, low-noise MR images. This pipeline's unique aims were to convert truncation artifact into improved image sharpness while jointly denoising images to improve image quality. This new approach, now commercially available at AIR Recon DL (GE Healthcare, Waukesha, WI), includes a deep convolutional neural network (CNN) to aid in the reconstruction of raw data, ultimately producing clean, sharp images. Here we describe key features of this pipeline and its CNN, characterize its performance in digital reference objects, phantoms, and in-vivo, and present sample images and protocol optimization strategies that leverage image quality improvement for reduced scan time. This new deep learning-based reconstruction pipeline represents a powerful new tool to increase the diagnostic and operational performance of an MRI scanner.