

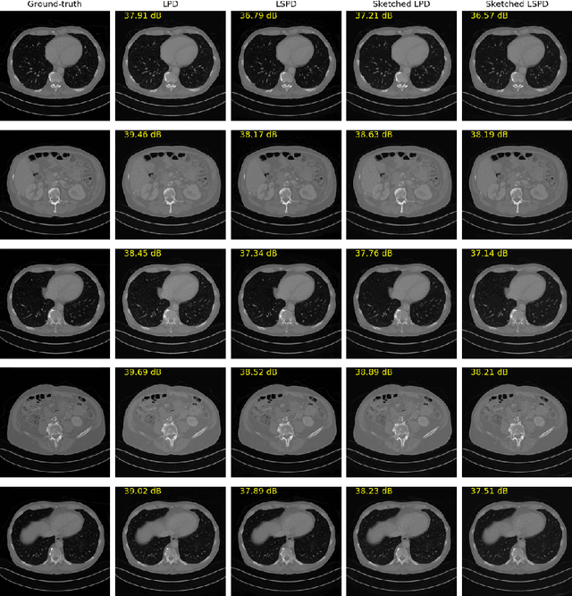
In this work we propose a new paradigm for designing efficient deep unrolling networks using operator sketching. The deep unrolling networks are currently the state-of-the-art solutions for imaging inverse problems. However, for high-dimensional imaging tasks, especially the 3D cone-beam X-ray CT and 4D MRI imaging, the deep unrolling schemes typically become inefficient both in terms of memory and computation, due to the need of computing multiple times the high-dimensional forward and adjoint operators. Recently researchers have found that such limitations can be partially addressed by stochastic unrolling with subsets of operators, inspired by the success of stochastic first-order optimization. In this work, we propose a further acceleration upon stochastic unrolling, using sketching techniques to approximate products in the high-dimensional image space. The operator sketching can be jointly applied with stochastic unrolling for the best acceleration and compression performance. Our numerical experiments on X-ray CT image reconstruction demonstrate the remarkable effectiveness of our sketched unrolling schemes.