



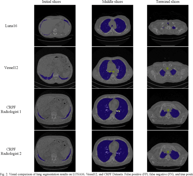
Segmentation of lung tissue in computed tomography (CT) images is a precursor to most pulmonary image analysis applications. Semantic segmentation methods using deep learning have exhibited top-tier performance in recent years. This paper presents a fully automatic method for identifying the lungs in three-dimensional (3D) pulmonary CT images, which we call it Lung-Net. We conjectured that a significant deeper network with inceptionV3 units can achieve a better feature representation of lung CT images without increasing the model complexity in terms of the number of trainable parameters. The method has three main advantages. First, a U-Net architecture with InceptionV3 blocks is developed to resolve the problem of performance degradation and parameter overload. Then, using information from consecutive slices, a new data structure is created to increase generalization potential, allowing more discriminating features to be extracted by making data representation as efficient as possible. Finally, the robustness of the proposed segmentation framework was quantitatively assessed using one public database to train and test the model (LUNA16) and two public databases (ISBI VESSEL12 challenge and CRPF dataset) only for testing the model; each database consists of 700, 23, and 40 CT images, respectively, that were acquired with a different scanner and protocol. Based on the experimental results, the proposed method achieved competitive results over the existing techniques with Dice coefficient of 99.7, 99.1, and 98.8 for LUNA16, VESSEL12, and CRPF datasets, respectively. For segmenting lung tissue in CT images, the proposed model is efficient in terms of time and parameters and outperforms other state-of-the-art methods. Additionally, this model is publicly accessible via a graphical user interface.